

















Ходила на прием к стоматологу-хирургу, он мне предлагает удалять сразу два, чтобы пропивать курс антибиотиков один раз. Но я сомневаюсь, все-таки это сложная процедура.
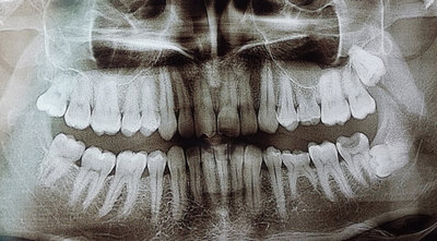
У меня два нижних зуба мудрости выросли неправильно, т.е. горизонтально, вылезли не полностью, а частично торчат. Один уже с кариесом и даже откололся.
Стоит ли удалить два нижних ретенированных зуба мудрости одновременно?
Вообще, рекомендуется удалять ретенированные 8-е зубы по одному (максимум по два), так как это довольно длительная и сложная манипуляция. Пациенту сложно просидеть так долго с широко открытым ртом.
Иногда, после удаления нескольких ретенированных зубов, появляются жалобы со стороны ВНЧС (Височно-нижнечелюстной сустав), причиной чего явилось длительное широкое открывание рта.
Таким образом, моё мнение, лучше удалять по одному, причём с перерывом в несколько недель, если зубы не беспокоят.
Стоматолог-имплантолог, скуловой имплантолог, хирург, челюстно-лицевой хирург
Стаж: 20 лет
Стоматолог-терапевт, детский стоматолог, пародонтолог, эндодонтист
Стаж: 23 года
Стоматолог-терапевт, детский стоматолог, ортодонт
Стаж: 14 лет