

















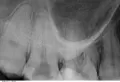
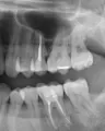
Недавно поставил металлокерамическую коронку на передний зуб верхней челюсти, а сейчас появилась на нёбе шишечка (в виде мозоля). Сделал рентген зуба, показало кисту, как врач сказал приличного размера, что уже поразило костную ткань и достаёт на небо.
Когда ставили коронку зуб лечили. Не знаю, почему врач тогда не заметил кисту (снимки делал два раза), залечили, поставил коронку, а теперь вот проблемы - киста.
Переживаю, не знаю, как быть, думаю всё-таки удалить зуб вместе с кистой.
Как быть, что лучше и легче сделать в моём случае?
При наличии кисты крупного размера кроме удаления зуба стоит рассмотреть возможность резекции верхушки корня.
На передних верхних зубах данная манипуляция имеет положительный прогноз.
Стоматолог-имплантолог, скуловой имплантолог, хирург, челюстно-лицевой хирург
Стаж: 20 лет
Стоматолог-терапевт, детский стоматолог, пародонтолог, эндодонтист
Стаж: 23 года
Стоматолог-терапевт, детский стоматолог, ортодонт
Стаж: 14 лет