

















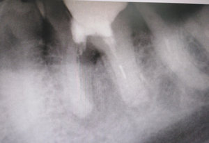
Был нарощен, на штифте, передний нижний зуб. Он выпал вместе со штифтом. В клинике сказали, что можно поставить только металло-керамическую коронку, на культевую вкладку. Сделали снимок, выяснилось, что у меня киста на корне зуба - семь миллиметров.
Можно ли ставить коронку на зуб с кистой? Какие ещё есть варианты?
Мои зубы очень плохие, много разных проблем. Без переднего зуба не могу остаться. Он на виду.
Этот зуб необходимо удалить. Такая большая киста не лечится. Резекция верхушки также не поможет.
Стоматолог-имплантолог, скуловой имплантолог, хирург, челюстно-лицевой хирург
Стаж: 20 лет
Стоматолог-терапевт, детский стоматолог, пародонтолог, эндодонтист
Стаж: 23 года
Стоматолог-терапевт, детский стоматолог, ортодонт
Стаж: 14 лет