

















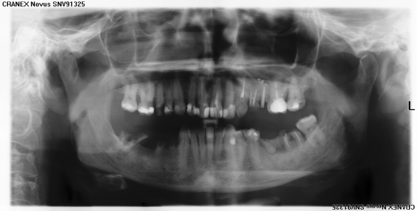
Мне необходимо протезирование. Можно ли по снимку сказать:
Скорее всего, оставшиеся корни на нижней и верхней челюсти порекомендуют удалить.
Восстановить дефекты зубного ряда можно имплантами.
На нижней челюсти возможно установление бюгельного протеза.
На передние зубы возможно установление керамических коронок.
Стоматолог-имплантолог, скуловой имплантолог, хирург, челюстно-лицевой хирург
Стаж: 20 лет
Стоматолог-терапевт, детский стоматолог, пародонтолог, эндодонтист
Стаж: 23 года
Стоматолог-терапевт, детский стоматолог, ортодонт
Стаж: 14 лет