🔥 Имплантация за 3750 ₽/мес.

Можно ли лечить периодонтит антибиотиками?

Анастасия26 мая 2016 г.

Я пребываю в заграничной командировке, и недавно ночью, начал побаливать зуб. Заснуть без двух обезболивающих не удалось. На утро картина повторилась. Два - три дня я жила на темпалгине, ибупрофене и пенталгине. Знакомая посоветовала стоматолога, посетить которого удалось только третьего мая. Врач диагностировал периодонтит. Сказал, что нерв уже умер, так как зуб не реагирует на холод. При этом лимфатические узлы увеличены. Также, мне кажется, что зуб стал выше, и мне сложно смыкать челюсть. Требуется промывание каналов с последующей их пломбировкой. Я возвращаюсь в Россию только через три месяца, поэтому спросила стоматолога, могу ли я попринимать антибиотики, чтобы загасить очаг (я привезла с собой из России цифран СТ 500). Он сказал, что чисто теоретически это может помочь перетерпеть три месяца. Я начала принимать цифран. Но переживаю, можно ли ждать в моем случае три месяца или необходимо проводить срочное вскрытие зуба и соответствующее лечение во избежание тяжелых последствий, и удаления зуба. Лечение в этой стране очень дорогое, поэтому хотелось бы лечиться на Родине.

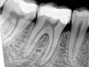
Подскажите, пожалуйста, что бы вы посоветовали в сложившейся ситуации, насколько мой случай запущен? Прилагаю фото зуба.

Прикрепленые фото
Можно ли лечить периодонтит антибиотиками?
Эксперт topdent
5.0
38 отзывов
Стоматолог-терапевт, детский стоматолог, пародонтолог, эндодонтист Стаж: 23 года

Ситуация не самая страшная, но действительно имеет место, периодонтит. Антибиотиками вы лишь на короткое время снимите обострение, при любой простуде, падении иммунитета, перепаде давления, ситуация может повториться. Если стоимость подъемная, лучше пролечиться. Последствия могут носить лишь более запущенную форму.

Связанные услуги

Статьи по теме

Вас консультируют