

















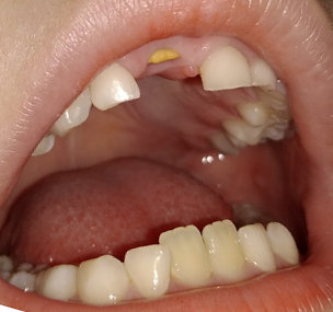
У моей девочки, молочные зубки, были очень беленькие. Мы ухаживали за зубами, чистили регулярно утром и вечером. Немножко появлялся черный налет, но мы ходили к стоматологу он сказал ничего страшного, почистил. Я очень переживала, когда зубы стали меняться, старалась вовремя удалить шатающийся зуб, чтобы постоянный вырос ровным, но когда росли постоянные зубы, я заметила, что у неё тёмная зубная эмаль.
Есть ли решение этого вопроса или это не изменить? Может ли цвет зубной эмали передаваться по наследству?
Постоянные зубы всегда имеют более темный (желтый) цвет по сравнению с молочными предшественниками. Особенно различие в цвете эмали бросается в глаза, когда молочный и постоянный зуб стоят рядом. И конечно, цвет эмали также обусловлен наследственностью, как и цвет глаз, волос.
Стоматолог-имплантолог, скуловой имплантолог, хирург, челюстно-лицевой хирург
Стаж: 20 лет
Стоматолог-терапевт, детский стоматолог, пародонтолог, эндодонтист
Стаж: 23 года
Стоматолог-терапевт, детский стоматолог, ортодонт
Стаж: 14 лет