

















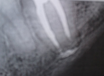
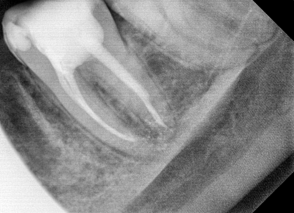
Месяц назад мне начали лечить очень воспаленный зуб, седьмой нижний слева. После пломбировки каналов наложили временную пломбу. После наркоза зуб болел при накусывании 2 недели, потом боль начала стихать и на сегодняшний день зуб не болит. При постукивании по зубу, я обратил внимание, что боль идет со стороны щеки. Сделав снимок увидел, что канал слева не запломбирован до конца. Врачи говорят, что все в порядке. Я начал интересоваться этим вопросом по причине боязни потерять этот зуб, на который будет крепиться мостовидный протез.
Есть ли воспаление в канале?
Если по истечении 6 месяцев проведен рентген контроль, и не выявлено воспаления корня, то навряд ли оно там появится.
Стоматолог-имплантолог, скуловой имплантолог, хирург, челюстно-лицевой хирург
Стаж: 20 лет
Стоматолог-терапевт, детский стоматолог, пародонтолог, эндодонтист
Стаж: 23 года
Стоматолог-терапевт, детский стоматолог, ортодонт
Стаж: 14 лет