

















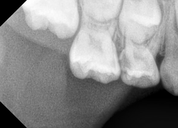
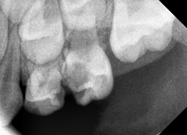
Доброе утро! Мне делали снимок в 14 лет, сказали у меня молочные зубы еще 2. Сказали сами выпадут. Сейчас мне уже почти 19. Один только шатается, болит жуть как. И над ним шишечка на десне, белая немного. Мне его нужно выдирать или сам выпадет? И еще я проживаю м.Петровско-Разумовская, Дмитровское шоссе 43-1. Мне если что в вашу поликлинику идти? Просто с детской, я так ни разу и не ходила к стоматологу.
Шишечка - это воспаление, зуб необходимо удалить.
Стоматолог-имплантолог, скуловой имплантолог, хирург, челюстно-лицевой хирург
Стаж: 20 лет
Стоматолог-терапевт, детский стоматолог, пародонтолог, эндодонтист
Стаж: 23 года
Стоматолог-терапевт, детский стоматолог, ортодонт
Стаж: 14 лет