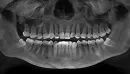
В прошлом году при рассмотрении вариантов ортодонтического лечения обнаружили 2 нижних ретинированных зуба мудрости и один верхний обычный. Практически сразу удалили один нижний с левой стороны (на снимке правый соответственно) и после этого через неделю у стоматолога при лечении одного из зубов, выявила трудности с закрыванием рта. В связи с переездом удаление второго ретинированного зуба отсрочилось. Меня он не беспокоит, точно так же как в принципе ничего на протяжении почти года после удаления не беспокоило.
Недавно я записалась на удаление второго нижнего зуба, но по какой-то причине состояние суставов резко усугубилось буквально несколько дней назад. На протяжении нескольких дней чувствовала заклинивания челюсти при зевании или при визите к стоматологу, движение челюсти неровное, как будто что-то смещается, иногда было даже при открывании рта до среднего уровня. Сегодня добавилась ноюще-давящая боль в области лица и ощущение слабости при жевании. Когда точно начались проблемы с суставами я не могу сказать, возможно где-то иногда и чувствовала какой-то дискомфорт, но меня это не беспокоило и внимания я не обращала. Такого как сейчас не было никогда.
Что сейчас делать и с чего начинать? Насколько необходимо удаление зуба? Могло ли наличие зубов мудрости или наоборот удаление одного из них спровоцировать проблемы с суставами?
Безусловно, наличие зубов мудрости, для которых в зубном ряду нет места, могут спровоцировать описанные симптомы. В случае, если для полноценного прорезывания восьмых зубов места не достаточно, по мере своего формирования и прорезывания они начинают давить на соседние зубы, в результате чего может появиться скученность во фронтальном отделе. Также корни зубов мудрости располагаются вблизи нижнечелюстного нерва, вследствие чего имеется болезненность по мере их прорезывания. Прорезывание зубов мудрости длительный процесс, который сопровождается воспалением, болезненностью, а иногда повышением температуры и затрудненным открыванием рта. При наличии таких показаний зуб подлежит удалению. Сама операция удаления восьмого зуба, особенно нижней челюсти - сложная. После операции может появиться отек и невозможность полноценного открывания рта. В этом случае необходимо механически разрабатывать мышцы.