

















В сентябре заболел зуб со штифтом, опухла щека, врач вскрыл зуб и поставил дренаж.
В следующий раз в декабре заболел соседний зуб, в одном канале гной, лечили долго.
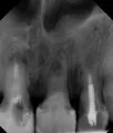
В апреле начал ныть зуб со штифтом и припухла щека, периодически побаливает. На приеме врач ничего не сделал, сказал поласкать, а боли между зубов сохранились. Зубы нижние левые 6 и 7.
Щека припухшая, что делать? Удалить или перелечивать? Можно ли перелечить соседний, если удалить зуб со штифтом?
Оба зуба идут под удаление.
В шестом зубе на корнях хроническое воспаление, которое периодически обостряется. Можно попробовать пролечить каналы и посмотреть, как будет зуб себя вести, но не факт, что их удастся пройти и качественно пролечить.
В седьмом зубе, на переднем корне, есть перфорация, выведен пломбировочный материал в периапикальное пространство (околокорневое), отсюда боли и дискомфорт. Качественно и надёжно пролечить этот зуб не получится. Вы можете отдать много денег и времени, а соответствующего результата не получите. Удаление, а в дальнейшем имплантация.
Стоматолог-имплантолог, скуловой имплантолог, хирург, челюстно-лицевой хирург
Стаж: 20 лет
Стоматолог-терапевт, детский стоматолог, пародонтолог, эндодонтист
Стаж: 23 года
Стоматолог-терапевт, детский стоматолог, ортодонт
Стаж: 14 лет