

















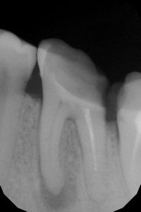
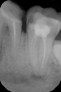
Стояла 8 лет пломба, она выпала, под ней почти ничего, осталось буквально две стенки и те почерневшие. Стою перед выбором: пытаться ли его лечить или удалять?
Врач сказал, что лечение при такой картине с двумя воспаленными корневыми каналами предстоит долгое и мучительное, с необходимостью разрезать десну. Вероятность того, что будут осложнения и в итоге зуб придется удалять, велика.
Может целесообразнее его сразу удалять?
На верхушках корней, возможно, имеются изменения и открытая бифуркация.
Рекомендую обратиться в качественную стоматологию, проделать нормальный рентген-контроль и после можно ставить диагноз.
Стоматолог-имплантолог, скуловой имплантолог, хирург, челюстно-лицевой хирург
Стаж: 20 лет
Стоматолог-терапевт, детский стоматолог, пародонтолог, эндодонтист
Стаж: 23 года
Стоматолог-терапевт, детский стоматолог, ортодонт
Стаж: 14 лет