

















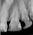
Я нашла у себя кариес на двух передних зубах. И хочу поставить пломбу. Одни мне говорят что если поставить пломбу, то зуб начнет гнить и пломбу будет сильно видно, а другие говорят, что пломбу не отличить от настоящего зуба. Скажите что делать?
Добрый день. Уважаемая Светлана, скорей всего вы не правильно все поняли, так как зуб не может гнить при грамотной установки пломбы, скорее всего, есть какая-та другая причина. Если вы попадете к грамотному терапевту и после снятия кариозных отложений сделаете красивую реставрацию, то все будет отлично и никто не отличит пломбу от своего зуба. Но повторяюсь, вам необходимо обратиться к терапевту с опытом и с навыками не просто установки пломб, а с навыками и умением реставрировать коронковую часть зуба. Всего вам доброго.
P.S Хочу добавить, что реставрация передних зубов очень тонкая и кропотливая работа и требует опыта в изготовлении в полости рта терапевтических виниров (метод реставрации путем перекрытия всей фронтальной части зуба для достижения высокой эстетики).
Стоматолог-имплантолог, скуловой имплантолог, хирург, челюстно-лицевой хирург
Стаж: 20 лет
Стоматолог-терапевт, детский стоматолог, пародонтолог, эндодонтист
Стаж: 23 года
Стоматолог-терапевт, детский стоматолог, ортодонт
Стаж: 14 лет