

















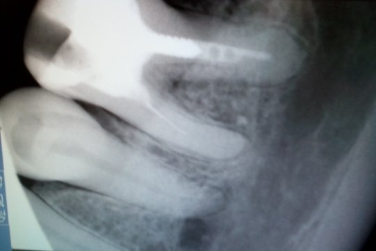
Здравствуйте! У меня гранулематозный периодонтит. 46 зуб. Полгода назад уже удалила 36 зуб из-за неудачного и бесполезного бесплатного лечения в поликлинике. Сейчас лечу в частной стоматологической клинике. 2 раза закладывали лекарство на 2 недели. Прошел месяц, сделали снимок, воспаление все равно держится.
Скажите, пожалуйста, существуют ли какие-либо другие способы снять это воспаление? Денег на лечение ушло немало и гарантии никакой не дают.
Добрый день. Все верно, гарантия на такое лечение не распространяется, но результат должен быть. Возможно доктор что-то делает не так (причин может быть несколько: не достаточное расширение канала, само лекарство, закладываемое в канал и так далее).
Необходимо понять размеры грануляции, чтобы однозначно поставить диагноз о методах лечения.
Вышлите мне снимок или приезжайте ко мне на прием.
Всего вам доброго!
Стоматолог-имплантолог, скуловой имплантолог, хирург, челюстно-лицевой хирург
Стаж: 20 лет
Стоматолог-терапевт, детский стоматолог, пародонтолог, эндодонтист
Стаж: 23 года
Стоматолог-терапевт, детский стоматолог, ортодонт
Стаж: 14 лет