🔥 Имплантация за 3750 ₽/мес.

Коричневый налет на зубах

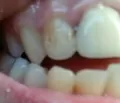
Полина4 февраля 2015 г.

Здравствуйте! Мне 20 лет. На внутренней стороне передних зубов (и верхних, и нижних) коричневый налет, который не исчезает. Чищу зубы ежедневно 2 раза в день. Отчего образовался этот налет? И каким способом можно от него избавиться?

Прикрепленые фото
Эксперт topdent
5.0
3 отзыва
Стоматолог-терапевт, эндодонтист Стаж: 21 год

Добрый день, уважаемая Полина. Этот налет - причина курения и чрезмерного употребления чая и кофе. В домашних условиях вы его никогда не почистите. Каждому человеку и вам, в том числе, регулярно в пол года раз необходимо посещать стоматолога на предмет гигиенической чистки зубов.
Запишитесь к нам на прием по тел :4957784745 на комплексную чистку, и я вам гарантирую, что через 30 минут вы приятно удивитесь.
Всего вам доброго.

Похожие вопросы

Наталья26 марта 2014 г.
Налёт на зубах у ребенка 7 лет

Здравствуйте, доктор! Такой вопрос — у дочки (7 лет) появился налёт на зубах, уже почти месяц не проходит. Что это может быть?

Был курс антибиотиков: "Хемомицин", потом пропили "Бифиформ", сейчас ест "Витрум джуниор".

Недавно сдавали анализы на я/г, простейшие, лямблии — всё отрицательно. Разные чупа-чупсы, газировку не ест, не пьёт. Зубы чистит регулярно, стул в норме.

Налёт появился примерно в то время, когда прошёл курс антибиотиков. Читала, что такое может быть от приёма антибиотиков. Если это от антибиотиков, то вопрос — налёт сам пройдёт и когда или же надо провести профессиональную чистку? Если нет, то что это может быть? Фотографию зубов послала на e-mail, указанный на сайте. Заранее спасибо!

Связанные услуги

Статьи по теме

  • 16 ноября 2020, в 20:42 Проверенный отзыв
    Этот налёт с детства. Как можно от него избавиться? Меня интересует, что с зубами?
  • Без клинического осмотра невозможно определить характер пигментации.
  • 16 июня 2020, в 22:19 Проверенный отзыв
    Чем убрать налет на зубах?
    Комментарий №179691
  • В домашних условиях экспериментировать не стоит. Рекомендуем Вам обратиться к стоматологу-терапевту для проведения профессиональной гигиены полости рта, а также проконсультироваться у гастроэнтеролога. Налет на фото напоминает стойкий налет, который может формироваться при нарушении микрофлоры и изменении кислотности желудочно-кишечного тракта.
  • 27 октября 2019, в 11:44 Проверенный отзыв
    Какими препаратами можно удалить коричневый налет на зубах от сигарет и чая? Домашние способы перепробовала многие, но все безрезультатно.
  • Пигментированный налёт от кофе, чая, сигарет можно удалить только с помощью профессиональной гигиены полости рта у врача-стоматолога. С помощью ультразвука врач снимет зубные камни (если они есть), после аппаратом Air flow (порошок из абразивного средства подаётся под напором воды) удаляется весь плотный и мягкий налёт. И в конце полировка зубов специальными пастами. Этот мет

    читать далее
  • 14 сентября 2019, в 14:15 Проверенный отзыв
    На передних зубах коричневые пятна. Я люблю попить кофе и выкурить сигарету. Чистка зубов обычной щеткой с пастой не помогает. Что может помочь? Это нужно как то лечить? Поможет ли профессиональное отбеливание?
    Комментарий №177716
  • У Вас на зубах обильное отложение мягкого зубного налёта и пигментированного налёта. В первую очередь, необходимо у стоматолога-терапевта провести профессиональную гигиену полости рта (снятие твёрдых зубных отложений ультразвуком, снятие мягкого налёта аппаратом air flow, полировка зубов специальными пастами). Необходим осмотр Ваших пигментированных пятен на зубах. Возможно, читать далее
  • 27 февраля 2019, в 13:39 Проверенный отзыв
    Что у мне я зубами, и как с этим бороться?
    Комментарий №176030
  • У вас налет, а также разрушен 27 зуб, который требует лечения и в последствии протезирования. Также кариес на 26 зубе.
  • 15 января 2019, в 22:46 Проверенный отзыв
    Сегодня заметила черноту на зубах с внутренней стороны. Прочитала, что это могут быть разные серьёзные заболевания. У меня были проблемы с печенью, а еще анемия. Вначале идти к стоматологу или лучше сначала позаботиться об иммунитете? Может ли быть это связанно с болезнями по женской части?
  • Почернение эмали может мыть как кариозным процессом, протекающим без симптомов (без боли), так и пигментацией. Потемнение пигментного налета вызывается многими факторами, изменениями в питании, приемом некоторых лекарственных препаратов, изменениями состава слюны, в связи с нарушениями желудочно-кишечного тракта. Обратитесь первоочередно к врачу-стоматологу для идентификации читать далее
  • 21 марта 2018, в 20:04 Проверенный отзыв
    Пару лет назад задавала этот вопрос своему стоматологу, и она сказала, что только ставить коронку. Возможно ли такой налёт (камень) снять с зуба? Неужели нет другого варианта?
    Комментарий №172734
  • По фото трудно сказать о характере налета. В первую очередь, следует провести профессиональную гигиену полости рта (снятие налета аппаратом air flow, полировка зубов и покрытие укрепляющим гелем). После, при эстетическом дискомфорте, вестибулярную (переднюю) поверхность зуба можно скорректировать художественной реставрацией с помощью композитного пломбировочного материала. Пр читать далее
  • 28 декабря 2015, в 22:18 Проверенный отзыв
    Около года назад, от зуба откололся кусочек, через месяц ещё два, и так далее. Я не придавал этому значения. В чем проблема?
  • Вам необходимо срочно к врачу, зубной камень на 6 и 7 зубе превышает размер самого зуба. Что необходимо лечить и как, можно определить исключительно на очном приёме.
Вас консультируют