

















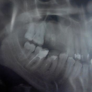
Во время планирования операции для импланта на томограмме обнаружилась киста на ранней стадии под гайморовой пазухой у семерки. Имплантолог говорит, что трогать необязательно, но на вопрос ― будет ли киста развиваться, отвечает утвердительно.
Подскажите, имеет ли смысл заняться кистой сейчас, не дожидаясь тяжелых последствий, и можно ли её удалить без потери зуба?
Киста будет развиваться, и приведёт это к потере зуба. Не трогать можно в случае, если уже сделать ничего невозможно.
Выложите мне снимок, я отвечу Вам на остальные вопросы.
Стоматолог-имплантолог, скуловой имплантолог, хирург, челюстно-лицевой хирург
Стаж: 20 лет
Стоматолог-терапевт, детский стоматолог, пародонтолог, эндодонтист
Стаж: 23 года
Стоматолог-терапевт, детский стоматолог, ортодонт
Стаж: 14 лет