

















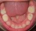
Здравствуйте! У нас такая ситуация. В 2 года ребенок упал и ударился передними зубками, у него они откололись. Через некоторое время я обнаружила, что на них начался появляться кариес, и перед тем как пойти в детсад, стоматолог их посеребрила.
Тогда начался ужас, было такое ощущение , что кариес начал с большой скоростью переходить на другие зубки, 2 жевательных зуба пришлось удалить. Потом залечили еще 2 жевательных зуба, но они начали разрушаться. Не болят, просто торчат кусочки. Ребенок ни в какую не хочет лечить зубки, после того как нам удалили два зуба, очень боиться!Скажите, пожалуйста, обязательно ли надо удалить разрушенные зубы? Или ждать, когда они выпадут?
Подскажите, пожалуйста, я очень переживаю!
Ваша задача подготовить ребенка к стоматологическому лечению, это очень важно.
От своевременного лечения зависит состояние его постоянных зубов. Корешки, скорее всего, необходимо удалять. Но я рекомендую для начала показаться детскому стоматологу.
Серебрение сегодня не самый актуальный метод противодействия кариесу.
Стоматолог-имплантолог, скуловой имплантолог, хирург, челюстно-лицевой хирург
Стаж: 20 лет
Стоматолог-терапевт, детский стоматолог, пародонтолог, эндодонтист
Стаж: 23 года
Стоматолог-терапевт, детский стоматолог, ортодонт
Стаж: 14 лет