

















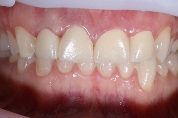
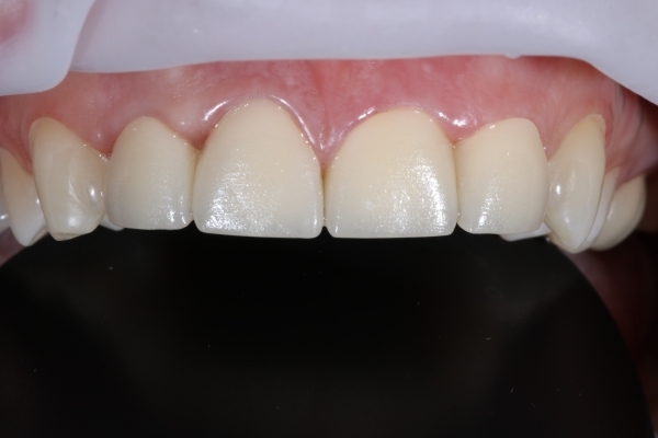
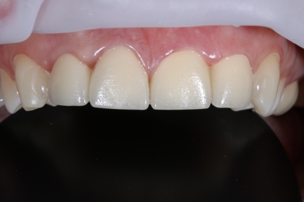
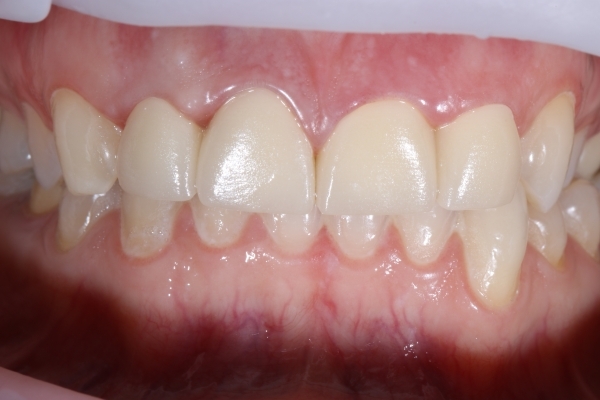
В стоматологической клинике мне установили циркониевые коронки, через полтора месяца они раскололись.
Мне изготовили новые коронки, но они совсем не похожи на предыдущие как визуально, так и по качеству. Последние коронки матовые (у предыдущих был ярко выражен зеркальный глянец, были ровные, гладкие, красивые) видны "поры", во рту более шершавые. При этом стоматолог уверяет меня, что данные коронки отличные и качественные. Я не верю.
Дайте, пожалуйста, визуальную оценку данным передним коронкам (4 шт.). Коронки пока не установлены на постоянный цемент.
Как мне быть?
По изображениям дать оценку сложно, а вот по Вашему описанию можно предположить, что ввиду того что коронки раскололись, врачом было принято решение изготовить циркониевые коронки без облицовки керамикой.
Для этого есть две причины – такие коронки намного дешевле и ввиду отсутствия облицовки, ничего не скалывается.
К сожалению, Вы правы, вид и тактильные ощущения при отсутствии облицовки оставляют желать лучшего.
Стоматолог-имплантолог, скуловой имплантолог, хирург, челюстно-лицевой хирург
Стаж: 20 лет
Стоматолог-терапевт, детский стоматолог, пародонтолог, эндодонтист
Стаж: 23 года
Стоматолог-терапевт, детский стоматолог, ортодонт
Стаж: 14 лет