

















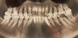
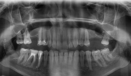
На каких зубах существует вероятность пульпита? 2. Есть ли вероятность, что на снимке присутствуют зубы, такие, что зуб значительно разрушен (от четырёх поверхностей), поэтому здесь требуется восстановление. То есть речь идёт о ситуации кариеса, когда пострадало более трёх поверхностей. Как известно, любой зуб имеет пять поверхностей (1. С внешней стороны. 2. С внутренней стороны (со стороны языка). 3. Со стороны левого соседнего зуба. 4. Со стороны правого соседнего зуба. 5. С жевательной стороны. Я понимаю, что точно диагноз нельзя поставить только по снимку, потому что нужен и визуальный осмотр, но речь идёт просто о возможности (подозрительных зубах и наиболее сложных).

Прям четких пульпитных явлений на снимке я не увидел. Шестой зуб сверху (26), требует установки коронки из-за большого количества пломбы, что по показаниям требуется реставрация вкладкой и коронкой. Не знаю про какой зуб идёт речь, но при разрушении коронковой части зуба более, чем на 50%, необходимо устанавливать коронки. Для более подробной консультации, обратитесь к стоматологу на очный приём.
Стоматолог-имплантолог, скуловой имплантолог, хирург, челюстно-лицевой хирург
Стаж: 20 лет
Стоматолог-терапевт, детский стоматолог, пародонтолог, эндодонтист
Стаж: 23 года
Стоматолог-терапевт, детский стоматолог, ортодонт
Стаж: 14 лет