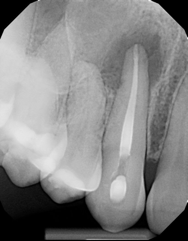
Мой сын случайно головой ударился о мой клык. Боли я почти не чувствовала, но со временем заметила шишечку на десне. Но не сразу придала значения, так как зуб полностью был здоров. Я не знала, что от такого незначительного удара корень зуба может умереть. Врач промыл канал, лекарство поставил всего на две недели, а потом закрыл канал. Чего я не ожидала, делала в другой стране. Шишка со щеки спала, но неожиданно через два почти месяца появилась вновь. За один день увеличилась и лопнула. Пришла к врачу, сделали снимок 3Д. По снимку видно, что уже кости нет. Инфекция распространилась ещё больше, как я понимаю, что уже захватывает соседний зуб. Мне предлагают сделать резекцию корня зуба. Понимаю, что альтернатива - это только удаление зуба. Так как живу в стране, где стоматология ужасно дорогая, и решается вопрос ехать в Россию, чтобы вылечить. Если есть, конечно, смысл.
Восстановится ли кость, чтобы можно было имплантат установить, хотя бы через год? Есть ли надежда сохранить соседний зуб, если он реагирует на холод? Можно ли установить коронку на первый зуб? Так как удалили много костной ткани, когда отбеливали зуб и он почти пустой, можно ли будет, коронку установить каким ни будь способом? Какая вероятность, что при данной ситуации это поможет и получится сохранить зуб?
Резекция верхушки корня может помочь в сохранении зуба, но думаю в связи с таким обширным воспалением зуб все же лучше удалить.
Соседний зуб пока можно попробовать пролечить, путём депульпирования и заведения лекарства за верхушку корня.
Насчёт восстановления кости на 100% никто ничего Вам не скажет. В случае недостаточной костной ткани для имплантации можно сделать ее наращивание остеопластику.
Насчёт переднего зуба чисто теоретически можно поставить коронку, но практически нужно смотреть непосредственно полость рта.