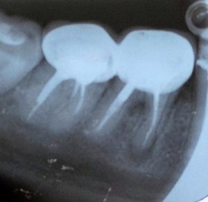
У меня сейчас стоят брекеты на нижней и верхней челюсти. Когда сделали общий снимок, у меня под коронкой на 6 зубе внизу слева оказалась киста. Врач предлагает сделать зубосохраняющую операцию с разрезанием десны и удалением кисты с корня зуба. Но меня одолевают сомнения.
Какие могут быть последствия после этой операции, и не появится ли опять киста? Может быть лучше удалить данный зуб с коронкой и попытаться на его место с помощью брекетов переместить 7 и 8 зубы? Что можно сделать?
Ваш доктор предлагает Вам провести хирургическую операцию - резекция верхушки корня.
Во время этой операции под местной анестезией делается разрез на десне, отслаивается слизистая оболочка и делается небольшое отверстие в кости, обнаруживается и отсекается верхушка корня зуба вместе с прикреплённой к ней кистой, пустое пространство в кости заполняется синтетической костной тканью и рана ушивается.
Чтобы приступить к выполнению операции необходимо оценить размеры кисты зуба и её расположение. Для этих целей наиболее информативным методом диагностики является компьютерная томография.
Киста представляет собой полость, которая окружена плотной оболочкой. Поэтому во время операции, при соблюдении правил асептики, врач должен полностью убрать всю оболочку кисты. Если фрагмент останется - она может появиться вновь.
Всегда старайтесь сохранять свои зубы, а не удалять, особенно шестые, т.к. они являются основными зубами в формировании правильного прикуса и функции жевания.