

















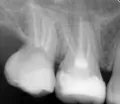
За день до события ел довольно твердые орехи, миндаль, 1 штуку (потом решил запить водой), но после них вечером и утром ел салаты, как обычно, и все нормально. После того как утром ел тонкий бездрожжевой армянский лаваш, который за 1 день стал немного черствым (корочка чуть тверже чем чипсы), в момент надкусывания дальними зубами услышал хруст и совсем небольшой кусочек зуба обнаружил в еде. По не понятной пока причине появилась трещина стенки 7-го зуба со стороны языка в четверти стенки, которая ближе к горлу. Видно, что есть трещина и в месте трещины есть небольшое углубление цвета кофейного налета (предположительно оттуда и выпал кусочек).
Стеночка еще держится, но упирается в десну и шатается.
Можно ли ее как-то шунтировать, прозрачной шунтирующей лентой, чтобы она приросла обратно? Или ее потребуется извлекать и реставрировать зуб, изготавливая пломбу? Во сколько это примерно обойдется? Снимок на телефон ничего не даст, а рентген не делали.
Стенку зуба, конечно, необходимо только удалить, а восстановить коронковую часть зуба теперь можно будет только вкладкой и коронкой.
Стоматолог-имплантолог, скуловой имплантолог, хирург, челюстно-лицевой хирург
Стаж: 20 лет
Стоматолог-терапевт, детский стоматолог, пародонтолог, эндодонтист
Стаж: 23 года
Стоматолог-терапевт, детский стоматолог, ортодонт
Стаж: 14 лет