

















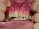
Мне 27лет. 5 лет назад на 1-ке, зуб да этого 2 раза пломбировался, у меня удалили кисту (резекция корня). Месяц назад над этим зубом, на десне вылез свищ, из него идет гной при надавливании.
Испугался, что повторная киста и зуб придется удалить. Сделал снимок, в районной стоматологии хирург сказал кисты нет, терапевт тоже самое. Также сказал проводить полоскания содо-солевым раствором и тогда со временем затянется, и что этот свищ - мое спасение, что он вот так вышел. Но у меня все равно недоброе предчувствие, так как уже месяц я с этим свищом (хотя каюсь, полощу редко).
Чтобы вы мне посоветовали делать, насколько опасна такая ситуация или я зря волнуюсь? Как бы вы поступили на моем месте?
Возможно, придется проводить повторное эндодонтическое лечение.
Наличие свища говорит, что в области верхушки корня идет воспалительный процесс в стадии гнойного воспаления.
Стоматолог-имплантолог, скуловой имплантолог, хирург, челюстно-лицевой хирург
Стаж: 20 лет
Стоматолог-терапевт, детский стоматолог, пародонтолог, эндодонтист
Стаж: 23 года
Стоматолог-терапевт, детский стоматолог, ортодонт
Стаж: 14 лет