🔥 Имплантация за 3750 ₽/мес.

Качественно ли пролечены каналы для установки коронки?

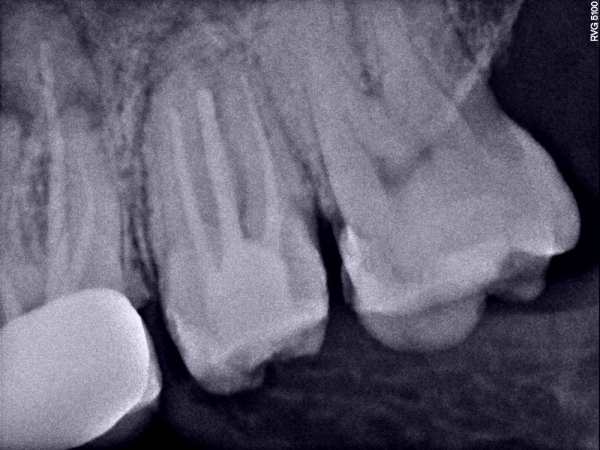
Светлана26 августа 2016 г.

Врач поставил коронку на седьмой левый верхний зуб, несколько раз пришлось менять. В один из приемов он поставил ее на незакрытые каналы, началось воспаление. С ним очень сложно было иметь дело, я пошла к другому доктору с тем, чтобы он ее снял и почистил каналы. Со временем он их закрыл, но как выяснилось ― палатальный на 3 мм ниже и соседний ― на полтора. Есть рентген. Пожалуйста, посмотрите, можно ли ставить коронку при таком состоянии, как сейчас?

Если честно, еще со времен воспаления в канале, иногда ноющее чувство в районе левого виска и в левой челюсти, даже снаружи, в том месте, что над каналом и рядом. Не то чтобы боль, но не так как с правой стороны, и присутствует опасение, что при неблагоприятных условиях (холод, что угодно) там может что-то нехорошее произойти. Как быть?

Уже пять лет эта мука продолжается, каналы загибаются внутрь в непройденных местах и не вскрыты даже, как мне кажется. На снимке это не выглядит как пустоты. Я ничего в этом не понимаю. Ковырять опять иголкой на 2,5 см в челюсть, очевидно, мучительно. Воспаления там нет. Боли в зубе никакой не ощущается ни при жевании, ни при кусании, вообще. Больше беспокоят ощущения во всей левой челюсти сверху, место заметно потревожено и отдает по лицевому нерву к носу, вдоль головы и к виску. Может, это просто пройдет со временем. Конечно, по новой вскрывать и перепломбировывать каналы не хочется, это такая пытка.

Пожалуйста, посмотрите, насколько потенциально опасно ставить коронку на зуб в таком состоянии, как сейчас. И что делать с левым виском? На фото это средний зуб, восьмерка справа от него.

Прикрепленые фото
Эксперт topdent
5.0
3 отзыва
Стоматолог-терапевт, эндодонтист Стаж: 21 год

6 и 7 зубы необходимо перелечить, после поставить культевые вкладки и коронки. На верхушках обоих зубов имеется обширный воспалительный процесс.

Связанные услуги

Статьи по теме

  • 6 марта 2019, в 23:53 Проверенный отзыв
    Хотела поставить коронку на зуб. Пломбу делала давно. На консультации сделали рентген, врач сказал, что можно ставить коронку, зуб пролечен хорошо. Сейчас выясняется, что нужна выписка из карты о лечении. Неужели недостаточно рентгена, чтобы понять о качестве лечения корневых каналов и пломбы?
  • Нам неизвестна причина запроса справки. Возможно в клинике ведется документация, требующая выписку из карты при раннем лечении зуба.
  • 7 ноября 2018, в 22:25 Проверенный отзыв
    Летом мне установили металлокерамические коронки. Но в связи неправильной обточкой и конструкцией мне пришлось их снять из-за воспаления десны. Имеется панорамный снимок челюсти. И так как после консультации ряда стоматологов мнения не совпали. Хочется узнать состояние десен и пломбирование каналов?
    Комментарий №175144 Комментарий №175144
  • Состояние десны по ортопантомограмме оценить невозможно, только костную ткань. 45-е, 47-е зубы лучше оценить на КТ, так как каналы запломбированы не до верхушки корня.
  • 2 марта 2018, в 14:18 Проверенный отзыв
    Хочу поставить коронки на передние 4-е зуба, из них 2-живых и 2 с пломбированными каналами (20 лет назад). На снимках воспалений у пломбированных каналов нет, каналы сделаны хорошо. Можно без последствий установить коронки на такие зубки, или нужно перелечивать/лечить каналы?
  • Необходим осмотр и анализ прицельных рентгеновских снимков. Если на них действительно нет воспалительных процессов, корневые каналы механически обработаны качественно, пломбировочный материал плотной консистенции и прослеживается на всем протяжении корневого канала и до верхушки корня зуба, тогда такой зуб можно не перелечивать , а сразу после ортопедической подготовки восста читать далее
  • 24 января 2017, в 23:37 Проверенный отзыв

    Лечила 3-х канальный зуб. Иголка как будто сломалась. Когда иголкой водила сильно надавила и чик сделала. Не осталось ли в корне зуба кусочка иголки? Еще хотела узнать, хорошо ли пролечены каналы?

    Комментарий №169554 Комментарий №169554
  • Инструмент на самом деле ломается в канале беззвучно, потому что очень тонкий. Это же не зубочистка, чтобы делать громкое "чик". По каналам, они конечно не до рентгенологической верхушки запломбированы, но мое мнение, что важна анатомическая верхушка, которая определяется апексконтролем.

  • 26 августа 2016, в 10:34 Проверенный отзыв
    Уже и не ожидала что кто-то ответит, если честно. Очень благодарна! Да, все сходится, Вы уже не первый врач, кто это говорит, да и я чувствую, что все не так как надо. Еще можно вопрос? Я сейчас живу в Индии, поэтому так много сложностей, далеко от столиц, тут мало качественных специалистов. Если еще возникнет такая необходимость (не исключено), можно мне обращаться к Вам хот читать далее
  • Конечно обращайтесь, когда Вам понадобится. Я для этого и веду онлайн-приём, чтобы помогать людям в непростой ситуации.
Вас консультируют