

















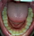
Всегда были ровные зубы, пока не вырос внизу зуб мудрости, который искривил зубы, т.к. мои растут плотно друг к другу. Мне 39, думаю, еще один уже не прорежется.
Что делать в такой ситуации, удалять зуб, потом ставить брекеты? Только на нижнюю челюсть? Можно ли исправить ситуацию без брекетов? Верхние зубы трогать не буду, они идеально ровные.
Да, все правильно, необходимо сначала удалить зуб мудрости и затем установить систему. Обратитесь на очный приём, вам составят план лечения и расскажут подробности.
Стоматолог-имплантолог, скуловой имплантолог, хирург, челюстно-лицевой хирург
Стаж: 20 лет
Стоматолог-терапевт, детский стоматолог, пародонтолог, эндодонтист
Стаж: 23 года
Стоматолог-терапевт, детский стоматолог, ортодонт
Стаж: 14 лет