

















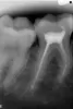
Ужасно болит зуб! При нажатии и сам по себе, ноет и пульсирует. Все это началось сразу же после того, как врач удалил мне нерв и запломбировал каналы. Я уже спать не могу, пью постоянно таблетки, а врач даже не сделал рентген! Сказал, если через неделю будет также, то зуб удалим! Я делала рентген сегодня сама в платной клинике! Стоматолог, делавший рентген, сказал, что, похоже на то, что в канале оставили инструмент. Посмотрите, это возможно?
Да, к сожалению, они правы. Там сломан инструмент и довольно глубоко. Поэтому достать его вряд ли удастся. Необходимо обойти инструмент, и на это способен только высококвалифицированный эндодонт. Зуб перелечить необходимо, иначе в ближайшее время вы его потеряете. Зуб рекомендую сохранить, это важно для вас.
Стоматолог-имплантолог, скуловой имплантолог, хирург, челюстно-лицевой хирург
Стаж: 20 лет
Стоматолог-терапевт, детский стоматолог, пародонтолог, эндодонтист
Стаж: 23 года
Стоматолог-терапевт, детский стоматолог, ортодонт
Стаж: 14 лет