🔥 Имплантация за 3750 ₽/мес.

Горизонтальный зуб мудрости

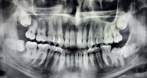
Ксения18 января 2015 г.

Обращаюсь к вам со следующей проблемой, от этой проблемы у меня уже кругом идет голова. Вообщем, заболел у меня зубик где-то года 2 назад, сделали рентген, обнаружили кариес, а так же на снимке увидели, что с левой стороны на нижней челюсти у меня выросла восьмерка, но она лежит под десной и упирается в соседний зуб, женщина в рентген кабинете посоветовала этот зуб удалить, я обращалась ко многим стоматологам и хирургу, вообщем все они сошлись во мнении, что если не беспокоит, то удалять не нужно, сказали что пусть он там под десной спокойно сидит себе и сидит до старости. Да и наслышана я об этом удалении страшные вещи, что и челюсть могут сломать при удалении и еще много неприятных вещей. Вообщем удалять я его не стала, и жила себе спокойно эти 2 года. Но сейчас он стал немного меня беспокоить, причем не только физически, я уже начинаю морально себе внушать что он болит. Мне постоянно кажется что у меня уже щека опухла и все в этом роде, хотя окружающие ничего не замечают. Но иногда он действительно меня беспокоит, периодически бывают пульсирующие боли и дискомфорт, не каждый день, но бывает. Подскажите пожалуйста, стоит ли удалять этот зуб? Мне очень страшно... НЕльзя ли его выпрямить как-нибудь? Обязательно удалять? К тому же выснилось что у меня с обоих сторон такие зубы

Эксперт topdent
5.0
271 отзыв
Стоматолог-ортопед Стаж: 21 год

Рекомендации докторов, которые давали вам неправильные советы, совершенно не имеют медицинских объяснений. Зуб, который лежит горизонтально или под углом, наносит неповторимый вред семерке, и, в любом случае, вы его удалите, рано или поздно. Но зачем дожидаться обострений, отеков и повреждения соседнего зуба? Не понимаю, если я вам давал рекомендации удалить данный зуб, значит необходимо удалить.

Ваша задача записаться к хорошему дипломированному хирургу, у которого имеется опыт в данных процедурах. Вы правы, удаление сложное и требует от врача определенных навыков. После, однозначно, будет небольшой отек и проблема с открыванием полости рта. Но через 2-3 дня вы придете в норму.

Я вам рекомендую записаться к нашему хирургу, который специализируется именно на этих зубах и имеет постоянный  ежедневный опыт,  в этом случае я вам Гарантирую успех, и не бойтесь, ничего вам не сломают.

Запишитесь к доктору Хачумян В.Х, он принимает во всех наших клиниках посменно, кроме четверга и понедельника.

Кандидат наук

Связанные услуги

Статьи по теме

  • 2 июня 2024, в 23:46 Проверенный отзыв
    Мне необходимо удаление ретинированной 8-ки снизу, но она корнями лежит в теле нерва и, как мне объяснили, после удаления потеряется чувствительность челюсти. Можно ли её поднять на пару мм ортодонтическими методами, а потом уже удалять, чтобы минимизировать повреждение нерва?
  • 2 июня 2024, в 23:47
    Да, можно попробовать, если есть условия.
  • 18 января 2020, в 2:44 Проверенный отзыв
    Меня зубы мудрости не беспокоят и не болят, но расположены неправильно. Нужно ли их обязательно удалять или можно так жить?
    Комментарий №179051 Комментарий №179051
  • Пока они не беспокоят их можно не трогать, но скорее всего впоследствии их придется удалить. Для объективного понимания ситуации нужно записаться на консультацию к хирургу. Он посмотрит на снимке и в полости рта насколько близко они расположены к соседним зубам и проведет Вам подробную консультацию.
  • 18 августа 2018, в 12:06 Проверенный отзыв
    Болит сложный зуб мудрости, в некоторые стороны больно повернуться. Надо ли удалять?
  • Необходимо сделать рентгеновский снимок, который называется ортопантомограмма, и обратиться к стоматологу-хирургу. По снимку можно определить расположение зуба и перспективу прорезывания. В случае если для полноценного прорезывания восьмого зуба места в зубном ряду недостаточно, то зуб подлежит удалению.
  • 23 июня 2018, в 23:32 Проверенный отзыв
    Две недели назад удалила зуб мудрости. Зуб был ретинированный. Сейчас ничего не беспокоит, но швы рассосались очень быстро, и осталось глубокое «дупло». Переживаю, что туда будет постоянно попадать еда. Нужно ли ещё раз наложить швы и закрыть эту глубокую дыру или со временем, она сможет затянуться?
  • В течение 1-3 часов в лунке формируется кровяной сгусток, который на третий-четвертый день сгусток прорастает грануляциями, через две с половиной три недели рана эпителизируется. Для исключения осложнений необходимо обратиться на очную консультацию к стоматологу-хирургу.
  • 25 мая 2018, в 14:32 Проверенный отзыв
    Зуб мудрости (нижний, справа) беспокоит, болит десна. После консультации стоматолога-хирурга, узнала, что этот зуб очень близко к кости челюсти, поэтому есть риск перелома челюсти при удалении зуба. Так ли это?
    Комментарий №173444
  • Данное осложнение - перелом, во время удаления может произойти только при наличии патологических очагов в челюсти, когда рассасывается и истончается кость, а также если врач прикладывает большое усилие во время удаления моляров, то есть врачебная ошибка в технике удаления. Обратитесь к опытному стоматологу-хирургу.
  • 4 апреля 2018, в 21:45 Проверенный отзыв
    Меня беспокоит нижний зуб мудрости слева. От него болит щека, ухо и шея немеет. Пошла к хирургу, сделали снимок, и хирург сказал, что удаление будет долгим и очень больным. Как удаляют такой зуб и что за черное пятно на снимке под зубом мудрости.
    Комментарий №173098
  • При удалении ретинированного, дистопированного зуба производится разрез десны в области зуба. Разрез делается специальным стоматологическим скальпелем. Участок десны убирается с поверхности кости и отодвигается в сторону, чтобы обнажить кость, покрывающую непрорезавшийся зуб. Кость рассверливается при помощи хирургического бора, и зуб щипцами удаляется из кости. Острые края читать далее
  • 11 марта 2018, в 1:42 Проверенный отзыв
    Мне 23 года. Сделала панорамный снимок, оказалось, что зуб мудрости находится в горизонтальном положении. Нужна операция, корень проходит через лицевой нерв. Насколько удаление опасно? Будет ли он в таком положении и дальше, или начнет беспокоить уже в скором времени?
    Комментарий №172748
  • Вам необходимо сделать 3-d снимок, так как в случае ортопантомограммы возможно наложение кадров. Нижнечелюстной канал может располагаться щелочной или лингвальные относительно зуба мудрости. В случае травмы нижнего луночкового нерва возможно онемение половины челюсти, губы, щеки и т.д.
  • 17 марта 2017, в 18:42 Проверенный отзыв
    Растет зуб мудрости в соседний зуб. Сдавил корень, это хорошо видно на снимке. Десна не болит, но воспалился под челюстной лимфоузел, отдает в ухо такая не постоянная боль. Лимфоузел уже полгода не проходит. Стоит ли удалять?
    Комментарий №172205
  • Зуб подлежит удалению. Ситуация может усугубиться, так как зуб очень давит на соседнюю семерку. Могут начать сдвигаться другие зубы, будет присутствовать болезненность. Может затруднится открывание рта. Лучше с удалением не затягивать.
  • 12 февраля 2017, в 16:33 Проверенный отзыв
    Лезет ретенированный зуб мудрости. Удалить пока не могу, идет менструация. Десна стала ныть и при глотании болит горло. Температуры нет. Стоит ли беспокоиться?
  • Удаление ретенированных зубов обычно планируется заранее. Я бы не рекомендовал откладывать удаление.
  • 28 января 2017, в 17:45 Проверенный отзыв
    Вчера удалили сложный зуб мудрости. Мне через неделю уезжать за город, куплены путевки. Очень болезненно сейчас, рот еле открывается. Пройдёт ли за неделю боль и отек щеки, если учитывать что удаление прошло успешно?
  • Не обязательно, что все пройдет за неделю, но значительно лучше должно стать обязательно.
  • 28 ноября 2016, в 0:00 Проверенный отзыв

    Мне 39 лет, и вот узнаю, что два верхних зуба не вышли. Возможно ли лечение ретинированного зуба?

  • Ретинированные зубы необходимо удалить, чтобы оградить себя от ненужных проблем в будущем.
  • 7 декабря 2015, в 19:08 Проверенный отзыв
    У меня лезет зуб мудрости с левой стороны на нижней челюсти. Болит под челюстью и немного ухо. Удалять его боюсь, т.к. зуб ретинированный. Какое удаление меня ждёт?
  • Вас ждёт сложное удаление ретинированного зуба мудрости. Ваша задача выбрать грамотного хирурга, во избежание осложнений.
  • 22 января 2015, в 20:49 Проверенный отзыв
    По жалобе на 6-ку был сделан рентген, на снимке был обнаружен сюрприз в виде 8-ки. Сколько зуб сидит под десной ― неизвестно, так как дискомфорта не ощущаю. Хочу поинтересоваться ― насколько сложное предстоит удаление?
    Комментарий №168686
  • Удаление предстоит сложное, а также дискомфорт при реабилитации 2-3 дня. Главное, чтобы данную манипуляцию проводил дипломированный хирург с постоянным опытом удаления ретинированных зубов. Рекомендую Вам записаться к нам на прием к хирургу Хачумян В.Х., и обещаю Вам качественный результат без патологий.
  • 18 января 2015, в 11:52 Проверенный отзыв
    До ужаса боюсь идти удалять ретинированную нижнюю восьмерку. После ее обнаружения на снимке хожу с ней уже 1,5 года. Пока не болит, не ноет, но я ее чувствую, временами бывает ощущение, что как будто чешется, как у маленького ребенка. Но дело в том, что страх перед процедурой удаления уже победил меня.
  • Восьмерку необходимо удалить до того, как она у Вас заболит. Вы должны понять, что это неизбежно, и в любом случае Вы через это перешагнете. Главное попасть к хорошему челюстно-лицевому хирургу, чтобы операция прошла как можно менее травматично и без последствий. Обратитесь к нам на прием к прекрасному специалисту Хачумян В. Х., который вот уже более 10 лет занимается данными читать далее
Вас консультируют