

















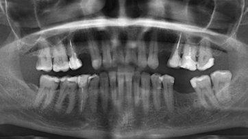
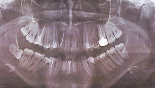
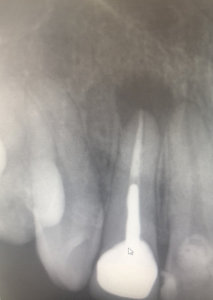
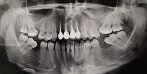
Около 3-х лет назад мне удалили нервы из верхней правой шестерки. Спустя 2 года воспалились корни, т.е. около 9 месяцев назад перелечивали корни, поставили коронку. Месяц назад зуб снова заболел, оказалось воспаление под корнем.
Хотелось бы узнать, действительно ли есть воспаление? И вообще в целом ситуацию насчет этого зуба, какое лечение следует предпринять? Есть 2 панорамных снимка.
Действительно, в зубе имеется хронический воспалительный процесс, причина — некачественное лечение каналов. Зуб будет лечиться в несколько посещений, и при квалифицированном подходе его вполне можно спасти.
Стоматолог-имплантолог, скуловой имплантолог, хирург, челюстно-лицевой хирург
Стаж: 20 лет
Стоматолог-терапевт, детский стоматолог, пародонтолог, эндодонтист
Стаж: 23 года
Стоматолог-терапевт, детский стоматолог, ортодонт
Стаж: 14 лет