

















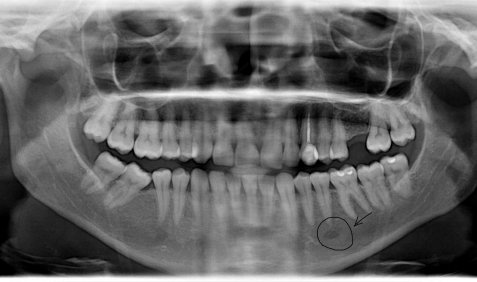
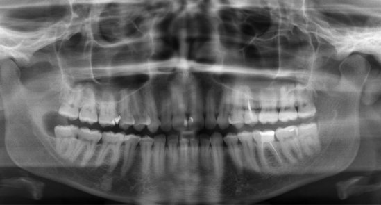
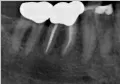
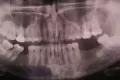
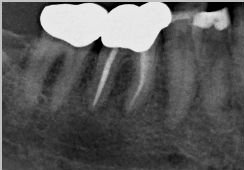
Здравствуйте! Есть ли у меня киста? Если да, то как срочно нужно делать операцию и как она называется?
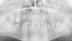
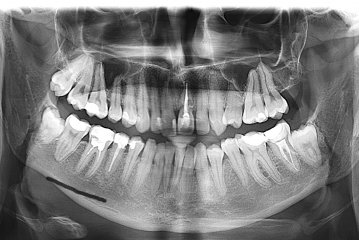
Какой зуб вы имеете ввиду? Уточните. 18 и 48 зуб необходимо удалить. Далее расскажу после уточнения.
Стоматолог-имплантолог, скуловой имплантолог, хирург, челюстно-лицевой хирург
Стаж: 20 лет
Стоматолог-терапевт, детский стоматолог, пародонтолог, эндодонтист
Стаж: 23 года
Стоматолог-терапевт, детский стоматолог, ортодонт
Стаж: 14 лет