

















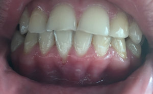
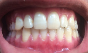
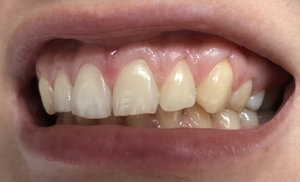
Уже в течение нескольких лет такая проблема: десны в прямом смысле потихоньку слазят с зубов. Сами десны не очень сильно воспалены, не болят, при чистке кровоточат. Сейчас мне кажется уже пик, они оголили зубы до такой степени что они, во-первых, увеличились в высоту, это очень некрасиво. Во-вторых, под слезшей десной зуб отличается цветом, он белее.
Я даже улыбнуться не могу, ужасно выглядит. Да и уже боюсь, что в итоге зубы повыпадают. Я извиняюсь за подробности, но я могу подцепить зуб языком, то есть еще чуть чуть и будет совсем кошмар.
Скажите, чем вылечить десны? Пробовала различные средства, из последних гель холисал. Все бесполезно.
Ваши десны тут вовсе ни причём. У Вас прогрессирует пародонтоз, и, к сожалению, лечения от этого недуга не существует. Современная стоматология способна лишь замедлить этот процесс качественной гигиеной и санированием полости рта. Кровоточивость дёсен говорит об инфекции, которая скапливается в мягких тканях и разрушает ткани пародонта.
Вам необходимо как можно раньше обратиться на приём к стоматологу и начать с комплексной чистки.
Стоматолог-имплантолог, скуловой имплантолог, хирург, челюстно-лицевой хирург
Стаж: 20 лет
Стоматолог-терапевт, детский стоматолог, пародонтолог, эндодонтист
Стаж: 23 года
Стоматолог-терапевт, детский стоматолог, ортодонт
Стаж: 14 лет