

















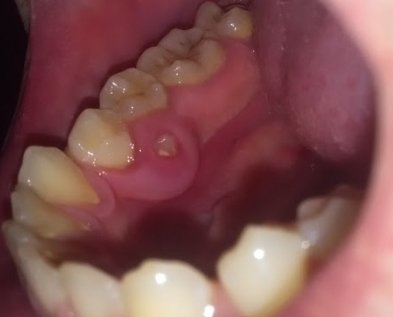
Семь лет назад лечил зуб, сделали хорошую пломбу, которая до сих пор держится, но на десне этой пломбы, два месяца назад, появился прыщик. Потом он превращался в шишку и со временем исчезал, и так много раз. Был сегодня у стоматолога в местной поликлинике, посмотрев снимки, сказала или удаляем, или оставляем. Если будет болеть, то приходи на удаление.
Что вы посоветуете? Дальше хуже не будет, если это дело оставить так?
У вас обострение периодонтита (хроническое воспаление), дальше будет именно хуже, вплоть до удаления данного зуба. Необходимо обратиться к врачу, данная проблема лечится в несколько посещений и при неблагоприятном исходе, может затянуться на несколько месяцев.
Стоматолог-имплантолог, скуловой имплантолог, хирург, челюстно-лицевой хирург
Стаж: 20 лет
Стоматолог-терапевт, детский стоматолог, пародонтолог, эндодонтист
Стаж: 23 года
Стоматолог-терапевт, детский стоматолог, ортодонт
Стаж: 14 лет