

















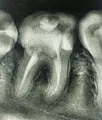
Подскажите, пожалуйста, нормально ли, что после лечения зуб продолжает болеть? Вот уже третий день после того, как поставили пломбу, а зуб ноет, особенно по ночам и при накусывании/нажатии (боль несильная, но неприятно). Из зуба доставали нерв и запломбировали канал.
Это пройдет или нужно снова идти к врачу?
Смените доктора и обратитесь к более грамотному врачу.
Судя по Вашим симптомам, у Вас прогрессирует обострение периодонтита. То есть у Вас неправильно поставлен диагноз, и соответственно, некорректное лечение.
Стоматолог-имплантолог, скуловой имплантолог, хирург, челюстно-лицевой хирург
Стаж: 20 лет
Стоматолог-терапевт, детский стоматолог, пародонтолог, эндодонтист
Стаж: 23 года
Стоматолог-терапевт, детский стоматолог, ортодонт
Стаж: 14 лет