

















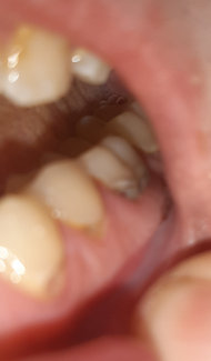
Здравствуйте мне 13 лет, у меня на передних зубах полосы рядом с деснами, но не на них, а на зубах найти не могу чем лечить, тчательно чищу! Помогите, скажите что это за болезнь и как вылечить. Она на верхних и нижних зубах спереди и сзади!
Добрый день. Это так называемые миловидные дефекты, к сожалению это практически не лечится. Рекомендую обратиться на очный прием для анализа ситуации.
Всего вам доброго!
Стоматолог-имплантолог, скуловой имплантолог, хирург, челюстно-лицевой хирург
Стаж: 20 лет
Стоматолог-терапевт, детский стоматолог, пародонтолог, эндодонтист
Стаж: 23 года
Стоматолог-терапевт, детский стоматолог, ортодонт
Стаж: 14 лет