

















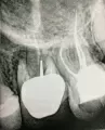
Через 2 недели мне предстоит резекция трех зубов (13,14 и 15) и удаление кисты, в челюстно-лицевой хирургии. Перед резекцией зубы нужно обязательно запломбировать.
В поликлинике по месту жительства, врач сказала, что если я буду пломбировать каналы обычными материалами (по полису ОМС), то у меня 100% будет рецидив и киста появится снова. Якобы в бесплатных поликлиниках материалы очень некачественные. В общем, в лечении она мне отказала и отправила в платное отделение. В платном отделении мне сказали, что пломбировать каналы нужно горячей гуттаперчей и обойдется мне это в 11 тысяч рублей за один зуб. Просто у нас сейчас сложное материальное положение и я нахожусь в декрете.
Скажите, пожалуйста, есть ли разница, чем пломбировать каналы перед резекцией? И какой материал лучше?
Не пугайтесь, никакого рецидива из-за пломбировки обычными материалами не будет, и не может быть.
Рецидив может быть только в случае, если оставят кусочек оболочки кисты.
Какого-то лучшего метода пломбировки каналов не существует, у всех есть свои достоинства и недостатки. Думаю, что можно найти удобный для вас вариант по цене, необязательно это делать там.
Стоматолог-имплантолог, скуловой имплантолог, хирург, челюстно-лицевой хирург
Стаж: 20 лет
Стоматолог-терапевт, детский стоматолог, пародонтолог, эндодонтист
Стаж: 23 года
Стоматолог-терапевт, детский стоматолог, ортодонт
Стаж: 14 лет