

















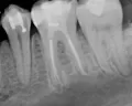
Стал беспокоить зуб под пломбой, на пломбе была трещина. Пошла к стоматологу, оказалось глубокий кариес под пломбой, поставила новую пломбу. После этого зуб стал болеть, больно при надкусывании. Пришла опять к стоматологу, сказала, давайте опять пломбу поменяем. Оказалось, что она в прошлый раз не до конца дочистила, там был еще кариес. Поставила пломбу, надкусывать не больно стало, но зуб побаливать. Пришла опять, сказала депульпировать надо. Почистила каналы, поставила временную пломбу. Вот вчера запломбировала каналы. Сделала снимок. Стоматолог сказала, что каналы запломбированы хорошо. Но мне кажется, что как будто не до конца они запломбированы, по снимку.
Хорошо ли запломбированы каналы?
Действительно возможно, что канал не до конца запломбирован.
Если при лечении соблюдалась полная стерильность зуба, то инфекция не будет размножаться в канале. И очень долго простоит.
Стоматолог-имплантолог, скуловой имплантолог, хирург, челюстно-лицевой хирург
Стаж: 20 лет
Стоматолог-терапевт, детский стоматолог, пародонтолог, эндодонтист
Стаж: 23 года
Стоматолог-терапевт, детский стоматолог, ортодонт
Стаж: 14 лет