

















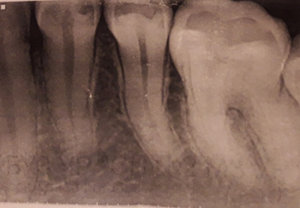
Здравствуйте! Подскажите пожалуйста, очень болит зуб вторую неделю! Нахожусь временно не в своём городе, тут гинеколог и стоматолог в одном лице. Скоро домой, договорился со своим лечащим врачом, примет по приезду 28/02, но боюсь не доживу, каждый день всё больнее и больнее. Предложили вырвать его, но он не шатается, стот крепко без кариеса вылеченный. Жевательный зуб 7, под десной сначала был красным, теперь весь зуб странного, бледного цвета. Ноет сильно пью обезболивающее. Есть снимок. Помогите пожалуйста.
Добрый день. Выложите снимок? я вам все расскажу, вам необходимо оказать первую помощь? а продолжите лечение уже у своего врача. Всего доброго!
Стоматолог-имплантолог, скуловой имплантолог, хирург, челюстно-лицевой хирург
Стаж: 20 лет
Стоматолог-терапевт, детский стоматолог, пародонтолог, эндодонтист
Стаж: 23 года
Стоматолог-терапевт, детский стоматолог, ортодонт
Стаж: 14 лет