

















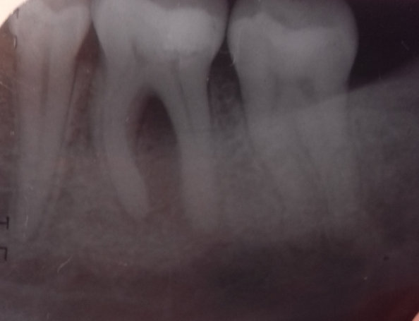
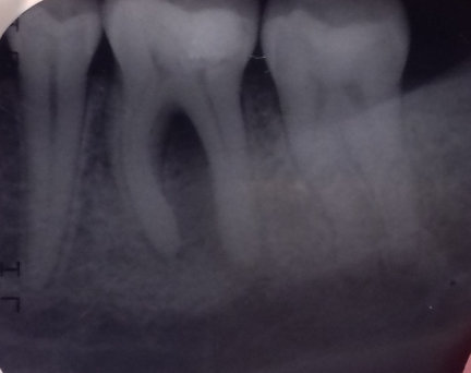
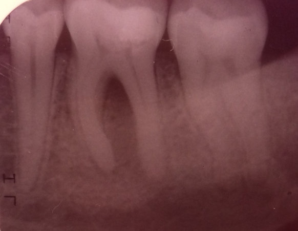
Здравствуйте. При принятии твердой и сладкой пищи, а также при ежедневной чистке зубов возникает ноющая боль в зубе (крайний левый на нижней челюсти). Стоматолог сказал, что есть небольшой кариес, поставили пломбу. Прошло уже три дня, а зуб всё равно ноет при накусывании. От чего это может быть и что делать в данной ситуации?
Добрый день . Скорее всего ваш стоматолог поставил неправильный диагноз или пломба завышает . Рекомендую обратиться на очный прием и после снимка вам все подробно расскажут. Не тяните , потеря времени может привести к потере зуба.
Всего вам доброго!
Стоматолог-имплантолог, скуловой имплантолог, хирург, челюстно-лицевой хирург
Стаж: 20 лет
Стоматолог-терапевт, детский стоматолог, пародонтолог, эндодонтист
Стаж: 23 года
Стоматолог-терапевт, детский стоматолог, ортодонт
Стаж: 14 лет