

















Полгода назад заболели зубы с правой стороны после приема холодной пищи, болела вся правая сторона, без конкретного зуба. Пришел к стоматологу ― удалил кариес и поставил пломбу, зуб не депульпировал, сказал, что проблема была не в этом зубе, а скорее всего, в зубах мудрости.
Спустя полгода заболел уже зуб, на который ставили пломбу. Боли к ночи усиливались, реагирует на горячее и холодное. Пришел к стоматологу, и вывод ― пломба близко стоит к нерву.
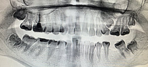
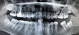
Может ли спустя полгода пломба дать о себе знать таким образом? Как действовать? Рентген прилагаю.
На Вашем снимке, конечно, ничего не видно, но теоретически может. Изоляция пульпы не выдерживает герметизацию, и зуб необходимо, скорее всего, депульпировать.
Также можно попробовать сменить пломбу, лучше изолировать камеру и понаблюдать.
Стоматолог-имплантолог, скуловой имплантолог, хирург, челюстно-лицевой хирург
Стаж: 20 лет
Стоматолог-терапевт, детский стоматолог, пародонтолог, эндодонтист
Стаж: 23 года
Стоматолог-терапевт, детский стоматолог, ортодонт
Стаж: 14 лет