

















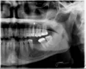
Болит 7-ка или 6-ка (на снимке верхние зубы). Врачи видят, что вытекло лекарство на 5-том, но говорят это не может болеть. Болит когда продувают между 6-тым и 7-мым.
Мне сделали 7-ой (без нерва). Сказали все сделали хорошо, но после этого на второй день опять начало болеть. Другой врач говорит, что это 7-мой плохо сделали и он болит. И, что это видно на снимке.
Что делать?
Если у Вас болело когда продували, то поэтому нерв и не удаляли сразу. В крайнем случае, если боли не прекратятся, то именно это и придется сделать.
Что касается правильности лечения семерки, то можно сказать, что изъяны есть, но они очень незначительные — слегка нависающий край со стороны 6 зуба и небольшое размягчение зуба с противоположной стороны.
Стоматолог-имплантолог, скуловой имплантолог, хирург, челюстно-лицевой хирург
Стаж: 20 лет
Стоматолог-терапевт, детский стоматолог, пародонтолог, эндодонтист
Стаж: 23 года
Стоматолог-терапевт, детский стоматолог, ортодонт
Стаж: 14 лет