

















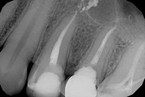
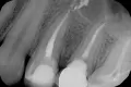
В середине ноября у меня разболелся зуб - верхняя правая 5-ка. Боль тупая, ноющая, иногда с ощущением распирания. Поставили диагноз пульпит, удалили нерв. Но после лечения оставалась легкая боль при накусывании, в январе зуб начал также реагировать на перкуссию. Я посетила консультацию у другого врача, сделала рентген. Мне сказали, что зуб запломбирован нормально, это может быть просто реакция организма на переохлаждение. Со времени той консультации прошел месяц, боль не ушла, зуб стал реагировать на горячее ощущением распирания. Еще иногда я замечаю неприятный привкус, идущий из пространства между этой 5-кой и 6-ой, как будто там что-то гниет.
Что за проблема это может быть? Нужно ли перелечивать зуб? И с какими рисками может быть связано перелечивание?
На мой взгляд, зуб пролечен хорошо, но для полной картины и оценки необходим К/Т (трехмерный снимок). Все симптомы говорят о периодонтите.
Стоматолог-имплантолог, скуловой имплантолог, хирург, челюстно-лицевой хирург
Стаж: 20 лет
Стоматолог-терапевт, детский стоматолог, пародонтолог, эндодонтист
Стаж: 23 года
Стоматолог-терапевт, детский стоматолог, ортодонт
Стаж: 14 лет