🔥 Имплантация за 3750 ₽/мес.

Боль спустя 4 дня после удаления нерва, это норма?

Татьяна29 мая 2016 г.

4 дня назад я посетила врача, хотела вылечить передний зуб (кариес). Несмотря на то, что зуб не болел, нерв мне все же удалили. О том, что несколько дней может болеть, меня предупредили. Но эта боль появляется только когда задеваю переднюю сторону зуба, и в основном вечером, если постукивать снизу или с обратной стороны, такого нет, а днем или во время приема пищи боль пропадает.

До этого мне уже проводили подобное лечение, но боль утихала через 2 дня. Сейчас никаких воспалений нет, и все же немного пугает такая ситуация. Лекарство не закладывали, все сделали за один прием.

Меня интересует, является ли такая боль нормой и стоит ли мне посетить врача снова или подождать? Рентген не делали.

Эксперт topdent
5.0
3 отзыва
Стоматолог-терапевт, эндодонтист Стаж: 21 год

Считаю, что стоит посетить альтернативного доктора, депульпация зуба без рентген-контроля не может быть качественной и это просто неграмотно.

Причины две: или неправильно поставлен диагноз и некачественно запломбирован канал (не до верхушки, либо, напротив, вывели материал за апекс); или постпломбировочные боли, но очень странного характера.

Я склоняюсь к первому варианту и рекомендую не тянуть с обращением к врачу.

По регламенту при лечении пульпита необходимо провести 4 рентген снимка: до, во время, после пломбировки и с файлами. Для профессиональных врачей достаточно хотя бы двух снимков: с файлами и после пломбировки.

Связанные услуги

Статьи по теме

  • 9 февраля 2021, в 13:39 Проверенный отзыв
    Мне удалили нерв в нижней семёрке. Нерв удаляли долго и очень больно. Поставили временную пломбу. Врач сказал, что болеть будет неделю. Зуб и десна продолжают очень сильно болеть. Сильнее чем до обращения к врачу. Стоит ли удалить зуб полностью или стоит продолжить лечение?
    Комментарий №180492
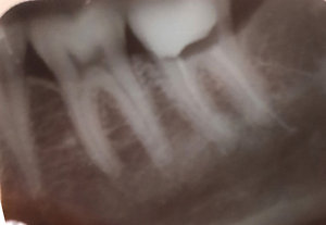
  • К сожалению, нам не известна первоначальная картина. На данном снимке определяется выведение материала за верхушку дистального корня.
Вас консультируют