

















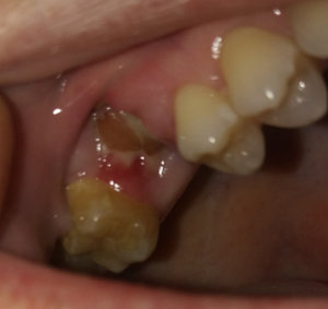
Не могу успокоиться, к врачу попасть возможности нет. Скажите, десна после удаления зуба заживает нормально или нет?
Меня пугает припухлость внутри лунки, а еще (думаю, что от лекарства) иногда появляется запах. Болей нет. И если запах от лекарства, может его убрать самостоятельно? Или мазь какая-нибудь нужна? У меня 9 недель беременности.
Вам необходимо показаться лечащему врачу, перепиской Вы не решите проблему.
Рану необходимо обработать и понять почему нарастает мягкая ткань. Осмотр после удаления бесплатный и займёт не более 10 минут.
Стоматолог-имплантолог, скуловой имплантолог, хирург, челюстно-лицевой хирург
Стаж: 20 лет
Стоматолог-терапевт, детский стоматолог, пародонтолог, эндодонтист
Стаж: 23 года
Стоматолог-терапевт, детский стоматолог, ортодонт
Стаж: 14 лет