Зуб номер 36 был пролечен много лет назад и сверху установлена золотая коронка.
Вчера мне перепломбировали каналы кажется гуттаперчей (препарат розового цвета, от штифтов которые нагревались перед установкой, шел пар) и установили стекловолоконный штифт. После этого врач сильно надавливала на зуб.
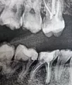
Был сделан контрольный снимок до лечения и после лечения. На снимке, сделанном после лечения, я увидела, что много пломбировочного материала вышло за пределы верхушки корневого канала.
На снимке видно, что один из каналов заполнен не до конца. Я задала вопросы врачу и получила ответ, что все в порядке, работа выполнена правильно и ничего страшного в том, что пломбировочный материал вышел за пределы канала.
Соответствует ли действительности то, что мне ответил врач? Какие последствия для меня может нести работа врача, выполненная таким образом? Можно ли что-то исправить? Мои дальнейшие действия?
После перепломбировки каналов, установке штифта и восстановления зуба которые были сделаны вчера, сегодня мне снимут оттиск для металлокерамической коронки и поставят временную пластмассовую коронку. Завершение всей работы планируется в пятницу 02.06.2017.
Правильно ли это?
Отвечу на каждый из ваших вопросов по отдельности.