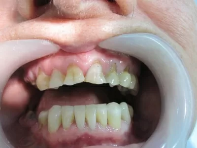
Заболевания зубов любой сложности лечат в Стоматологическом центре Медицинская Лига-1. Ведущим специалистом центра является врач стоматолог-ортопед высшей категории Вадим Борисович Захаров, которого очень хвалят пациенты. В клинике Вам предложат услуги от лечения парадонтоза, до восстановления разрушенных «под корень» зубов и протезирования. По будним дням время работы стоматологического центра Медицинская Лига-1 продлено до 21-го часа. По субботам клиника работает с 10 утра до 4 час...
Отличное качество по доступной цене. Что порадовало - бесплатная консультация и предложенный план лечения. Более того, предложили выбрать лечебный материал по бюджету. Отношение как к пациентам, а не клиентам. Ну вы понимаете. Приятный и немаловажный бонус. Метро в 3 минутах пешком, бесплатная парковка. Господа, удачи вам!
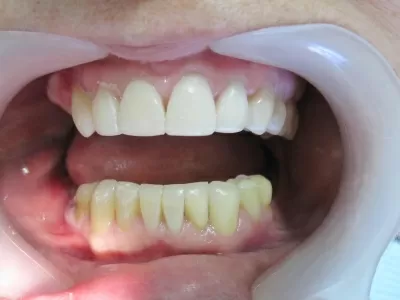
Огромное спасибо за великолепную работу! Совершенно искренне! Спасибо замечательным врачам Захарову Вадиму Борисовичу и Лелиной Алле Николаевне за внимательность и профессионализм, за великолепную работу!!! Спасибо администраторам и медсестрам за вежливость и аккуратность! Я не ошиблась с выбором клиники! Протез сделан виртуозно! Удачи Вам!!!!
Спасибо замечательной клинике, моей родной "МЕДИЦИНСКОЙ ЛИГЕ-1". Тут не пожалели своих нервов и сделали протез. Мои нервы тоже остались целыми, хотя стоматологов боюсь, к слову, протез получился очень качественный. Отдельное спасибо хочу сказать клинике за подбор внимательного персонала. ЗАХАРОВА ВАДИМА БОРИСОВИЧА просто не могу забыть, врач который знает всё хотя является стом