🔥 Имплантация за 3750 ₽/мес.

Через десну удалили корень зуба, из-за чего появился дискомфорт и болезненность

Клер3 февраля 2019 г.

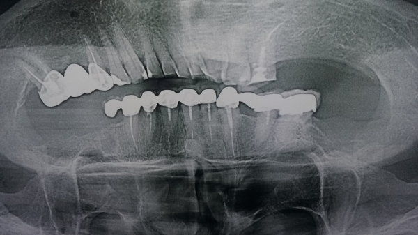
Год назад маме удалили зуб мудрости и из-за него 7-й зуб. Затем неудачно сделали протезирование. Начались проблемы с деснами. Заболел 5-й зуб. На днях сделали операцию, через десну удалили корень, ввели какой-то препарат сказали, что был воспалительный процесс. Прошло время у нее вернулось чувство распирания и озноб где-то в области удаленных зубов.

Может там косточка, какая осталась или материал, или еще что из-за чего может быть дискомфорт и болезненность?

Прикрепленые фото
Эксперт topdent
5.0
273 отзыва
Стоматолог-ортопед Стаж: 21 год

По данному рентгеновскому снимку практически все корневые каналы зубов, пролечены некачественно, и определить какой именно зуб вызывает подобные жалобы дистанционно невозможно. Необходим осмотр и компьютерная томография. Проконсультируйтесь очно с опытным врачом-стоматологом.

Кандидат наук

Связанные услуги

Статьи по теме

Пока нет комментариев
Вас консультируют