🔥 Имплантация за 3750 ₽/мес.

Из-за чего на резцах образовались белые пятна в виде крапинок?

Валерий27 марта 2019 г.

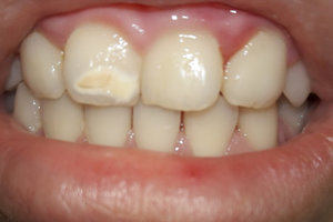
У меня появилось белое пятно на краю переднего резца, буквально за день. Если присмотреться, на другом зубе тоже видны белые крапинки. У стоматолога был на приёме несколько дней назад, тогда всё было в порядке. Был только осмотр, стоматолог сказал, что у меня хорошие зубы, никаких патологий. На скол не похоже, эмаль гладкая. Пастой с фтором пользуюсь всего пару дней. В еде фтора нет. Чувствительности тоже не наблюдается.

Это опасно?

Эксперт topdent
5.0
3 отзыва
Стоматолог-терапевт, эндодонтист Стаж: 21 год

Необходим повторный осмотр полости рта. Белые пятна на зубах без жалоб (отсутствие боли, чувствительности, дискомфорта), могут быть характерны для кариеса в стадии пятна или некариозного поражения гипоплазии. Проконсультируйтесь очно с другим специалистом.

Связанные услуги

Статьи по теме

  • 22 апреля 2021, в 10:35 Проверенный отзыв
    Ребенку два года. У дочки появились белые полоски на верхних и нижних передних зубах. Что делать?
  • 19 апреля 2020, в 3:00 Проверенный отзыв
    Появились белые пятна на зубах. От чего это возможно?
  • Без клинического осмотра сложно судить. Это может быть связано с недостаточной гигиеной полости рта, с развитием начальной стадии кариозного процесса, недостатком витаминов и микроэлементов. Вам необходимо обратиться на очный осмотр для проведения дифференциальной диагностики.
  • 16 марта 2020, в 11:30 Проверенный отзыв
    Вроде случай не запущенный. Спиливать эмаль не хочется, чтобы ставить виниры. Есть ли более экономичные способы, не влияющие на эмаль и на здоровье зубов в будущем? Есть ли эффективный метод против флюороза?
    Комментарий №179294
  • По фото сложно судить, но при легкой степени можно проводить отбеливание. Виниры не выход при патологии прикуса. Рекомендуем вам посетить стоматолога-ортодонта.
  • 12 декабря 2019, в 6:27 Проверенный отзыв
    У ребенка появились белые пятна на передних зубах. Чистим каждый день. Это, начало кариеса? От чего это? Что делать?
    Комментарий №178630
  • К сожалению, без клинического осмотра полости рта понять кариес это или нет, сложно. Это может быть кариес в стадии пятнам, из-за недостаточной минерализации эмали, или, может быть пигментация эмали, которая часто встречается в случае дисбактериоза. Вам необходимо обратиться к детскому стоматологу-терапевту.
  • 12 ноября 2019, в 22:38 Проверенный отзыв
    Сыну 9 лет. У него на передних двух верхних постоянных зубках появились белые пятна. Они как будто не покрыты эмалью. На остальных такого нет. Мы чистили зубы электронной детской щеткой. Могли ли мы стереть эмаль или это что то другое?
    Комментарий №178312
  • Причинами появления белых пятен на зубах могут быть: - кариес в стадии пятна, - гипоплазии эмали, - флюороз. Флюороз - это заболевание, которое возникает в связи с перенасыщением тканей фтором. Гипоплазия - это заболевание, которое связано с недоразвитием эмали, возникает в результате нарушения обменных процессов.
    Вам необходимо обратиться к детскому стоматологу-терапевту. Е читать далее
  • 11 июля 2019, в 9:10 Проверенный отзыв
    Мне 13 лет. У меня чувствительные зубы, есть белые пятна. Сами зубы желтоватого оттенка. Какую пасту или гель лучше использовать для бережного отбеливания? Можно ли вообще мне использовать такие средства?
  • Самодеятельностью лучше не заниматься. Рекомендуем обратиться к стоматологу-терапевту. Если это связано с пигментаций пищевыми красителями, то потребуется профессиональная гигиена и формирование. Если это индивидуальная особенность эмали, то тут просто привыкнуть или в старшем возрасте провести отбеливание.
  • 26 июня 2019, в 2:01 Проверенный отзыв
    У меня с детства это пятно на переднем зубе. Теперь оно начинает темнеть. Каким способом будут лечить? Во сколько рублей мне обойдется лечение? Спасибо заранее.
    Комментарий №177120
  • Вам необходимо обратиться к стоматологу-терапевту. Возможно это гипоплазия. Вам проведут препарирование тканей и восстановят композиционным материалом. Цена зависти от материала и региона проживания. В среднем от 2000 до 5000 руб.
  • 30 апреля 2019, в 3:05 Проверенный отзыв
    У меня на зубе странное пятно, которое светлее чем моя зубная эмаль. Я всегда чистил зубы по 2 раза в день, но оно так и не прошло. Какими способами можно от него избавиться?
    Комментарий №176624
  • Есть 2 варианта: 1) Местная Гипоплазия эмали - возникает на постоянных зубах из-за вовлечения в воспалительный процесс зачатков зубов или вследствие механической травмы развивающего зачатка. Клинически этот тип гипоплазий проявляется в виде белых пятен, кроме эстетического дискомфорта никаких жалоб нет. Гипоплазии эмали зубов приводят к тому, что микробы более агрессивно возд читать далее
  • 4 апреля 2019, в 22:58 Проверенный отзыв
    Недавно у меня на зубах возникло белое пятнышко. Как это лечить? Платная ли это услуга?
    Комментарий №176414 Комментарий №176414 Комментарий №176414
  • Наиболее частой причиной появления белых пятен на эмали является деминерализация эмали. Необходимо обратиться к стоматологу-терапевту для проведения ремо терапии, что позволяет укрепить эмаль, восполнить дефицит минеральных компонентов, снизить чувствительность зубов и предотвратить развитие кариеса.
Вас консультируют