
Воспаление десен — распространенное стоматологическое заболевание. Очень часто оно протекает почти бессимптомно, вследствие чего человек порой даже не подозревает о том, что у него воспалилась десна. А вместе с тем статистика свидетельствует о том, что на эту болезнь жалуются как минимум две трети населения России.
Чаще всего причиной воспаления десен зубов являются болезнетворные бактерии, которые вследствие некоторых причин начинают слишком интенсивно размножаться. И через какое-то время человек начинает жаловаться на боль и кровоточивость.
Воспаление десен поражает практически все возрастные группы пациентов. Интенсивность проявления симптомов при этом может быть разной.
Во многом развитие воспалительного процесса зависит от гигиены полости рта. Чем тщательнее человек следит за состоянием своей ротовой полости, тем выше шансы того, что заболевание обойдет его стороной. Чем больше на зубах скапливается зубного налета и других отложений, тем выше угроза, что может возникнуть воспаление. Стоматологи отмечают прямую связь между интенсивностью поражения и наличием зубного налета. Для подтверждения этой взаимосвязи был проведен интересный эксперимент.
Группе молодых людей со здоровыми зубами предложили на три недели отказаться от гигиенических процедур полости рта. По истечении отведенного времени у всех без исключения членов экспериментальной группы наблюдалось скопление большого количества зубного налета, а также начальные процессы воспаления. При этом стоматологи отмечали, что для того, чтобы появились первые признаки, достаточно всего две-три недели не уделять должного внимания гигиене полости рта! Так что для того, чтобы долго не знать, как именно болят больные десна, следует регулярно чистить зубы.
Однако наибольший интерес представляют следующие выводы данного эксперимента: после того, как члены экспериментально группы возобновляли гигиенические процедуры полости рта в полном объеме, через какое-то время все симптомы воспаления десен исчезали, а состав микрофлоры полости рта нормализовался. Это говорит о том, что если на начальной стадии развития уделить должное внимание гигиене полости рта, воспалительный процесс можно остановить. Особенно тщательно следует очищать от остатков пищи и зубного налета межзубные пространства и труднодоступные участки зуба, так как именно так скапливается больше всего зубного налета.
Однако если заболевание зашло довольно далеко, десны кровоточат и болят, гигиеническими процедурами, скорее всего, ограничиться уже не удастся. И единственный наш совет – как можно скорее посетить врача-стоматолога. Только он поставит правильный диагноз и назначит соответствующее лечение.
Причины воспаления десен могут быть самыми разнообразными, начиная от недостаточной гигиены полости рта и заканчивая механическими травмами. Рассмотрим самые распространенные из них:
Недостаточная гигиена полости рта. Со временем на зубах и деснах образуется невидимая человеческому глазу пленка из бактерий и сахара, которая в течение трех дней затвердевает. Если систематически чистить зубы, то пленка будет удаляться в ходе гигиенической процедуры по мере ее возникновения. Если же зубы чистить редко, то пленка затвердевает, превращается в зубной камень, и удалить ее самостоятельно уже нельзя. А в зубном камне, как и в налете, болезнетворные бактерии размножаются особенно быстро. Поэтому-то стоматологи и называют недостаточную гигиену полости рта одной из основных причин заболевания.
Зубной камень является не только рассадником бактерий, но и одной из причин травмирования десны. Поэтому время от времени следует посещать стоматолога для того, чтобы провести профессиональную чистку зубов и удаление зубного камня, так как самостоятельно сделать это не удастся. Таким образом, вы обезопасите себя от возникновения болезни.
Ослабленный иммунитет. Если организм человека ослаблен, он не может сопротивляться возникновению различных заболеваний, вызванных бактериями или вирусами. Поскольку воспаление десен имеет бактериальную основу, ослабленный иммунитет играет большую роль в развитии и возникновении заболевания.
Прием препаратов, которые способствуют снижению слюноотделения. Человеческая слюна является очищающим веществом, она бережно и совершенно естественно очищает зубы и десны от зубного налета. Если в результате приема лекарств количество слюны существенно уменьшилось, это может привести к изменению микрофлоры полости рта, и как результат – к воспалению.
Воздействие вирусов. К примеру, одну из разновидностей гингивита – герпетический гингивостоматит вызывает вирус герпеса. Вирусы могут спровоцировать возникновение заболевания, если организм ослаблен предыдущими болезнями, поэтому гингивит чаще всего возникает после перенесенных заболеваний.
Недостаток витамина С. Казалось бы, какая тут взаимосвязь? Но, оказывается, отсутствие витамина С может привести к такому серьезному заболеванию, как цинга.
Беременность. Во время беременности происходит сложнейшая гормональная перестройка всего организма женщины, вследствие чего женщина жалуется, что у нее воспалилась десна. В этом случае следует уделять повышенное внимание гигиене полости рта и своевременно посещать стоматолога, чтоб к концу беременности не потерять все зубы.
Плохая наследственность и курение. Если родители страдают от того, что у них воспаленные десна, вероятность того, что их дети также пострадают повышается.
Некачественных зубных коронок и пломб. Если пломба или зубная коронка постоянно травмирует десну, то со временем она начинает воспаляться. Поэтому если у вас возникает чувство дискомфорта, а какая-то коронка царапает вашу десну, немедленно обратитесь к врачу и замените некачественную коронку на более качественную.
Менструальный цикл или прием гормональных контрацептивов. Поэтому женщинам в этот период следует особенно тщательно относиться к гигиене полости рта.
Отметим еще несколько причин, которые могут вызвать воспаление десны вокруг зуба, это:
Если вы страдаете одним из этих заболеваний, это отнюдь не означает, что у вас обязательно появится воспаление десен. Однако следует понимать, что вы находитесь в потенциальной группе риска.
Симптомы воспаления десен могут появляться постепенно, а их интенсивность нарастать со временем. Перечислим основные из них:
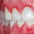
На ранней стадии развития заболевания появляется покраснение, которые становятся ярко-красными. Поэтому если ваша десна изменила цвет, это уже повод обратиться к врачу, даже если других симптомов не наблюдается.
Поскольку очень часто нам задают вопрос: «Воспалилась десна, что делать?», в данной статье мы постарались подробно рассказать вам все, что сегодня известно об этом заболевании. Надеемся, что наша статья поможет вам сохранить ваши зубы здоровыми как можно дольше.