🔥 Имплантация за 3750 ₽/мес.

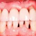
Пародонтоз

Как сильно ошибаются те, кто считает, что здоровье зубов никак не связано со здоровьем десен! На самом деле, здоровые зубы точно так же невозможны, как жизнь на земле без воздуха. Если десна воспалена, то со временем начинают страдать зубы, а если пациент не реагирует и длительное время не проводит лечения воспаленных десен, зубы могут просто выпасть. Страшно? Пугаться не стоит — мы расскажем вам, как надежно защитить свои десны от воспаления, как вовремя диагностировать начало воспалительного процесса, как его эффективно и быстро вылечить и что сделать, чтоб в будущем проблемы с деснами вас больше не беспокоили.

Автор статьи
стоматолог-терапевт, детский стоматолог, пародонтолог, эндодонтист

Пародонтоз от А до Я
8

Содержание:

Как возникает пародонтоз

Пародонтоз — это системное заболевание околозубной ткани, или пародонта. Относится к воспалительным заболеваниям десен.

Причины возникновения пародонтоза — болезнетворные микробы, живущие в зубном налете, под воздействием которых возникает воспаление. То есть, по сути, основной причиной возникновения является недостаточная гигиена полости рта и постоянное наличие зубного налета.

Пародонтоз на начальной стадии путают с гингивитом или пародонтитом.

Коварность заболевания в том, что пациент длительное время даже не подозревает о его наличии. Десны становятся чувствительными, начинают кровоточить, однако все эти симптомы развиваются длительно и постепенно, поэтому с момента начала и до того момента, когда пациент начинает понимать, что с деснами не все в порядке, проходит время и благоприятный момент для лечения бывает упущен.

Если вовремя не начать лечение пародонтоза, то у корня зуба образуется зубодесневой карман, в котором размножаются болезнетворные бактерии и вызывают разрушение и рассасывание корня.

Причины

  • наследственный фактор;
  • наличие большого количества болезнетворных микробов;
  • неправильный прикус;
  • травмы зубов и десен;
  • наличие общих заболеваний, например, сахарного диабета, гипертонии, атеросклероза и некоторых других болезней.

При пародонтозе нарушено питание тканей пародонта, в результате чего происходят изменения в структуре ткани десны. Все причины, которые способствуют возникновению болезни пародонтоз, можно условно разделить на две группы:

  • 1 группа — общие причины;
  • 2 группа — местные причины.

Общие причины пародонтоза напрямую связаны с состоянием здоровья пациента и зависят от наличия у пациента заболеваний эндокринной системы, сердечно-сосудистой системы, желудочно-кишечного тракта, гиповитаминоза.

Местные причины имеют локальный характер, они зависят от

  • правильности прикуса;
  • развитости преддверия ротовой полости;
  • соответствии размеров уздечки языка и губ;
  • наличии зубного камня и интенсивности зубного налета, в котором активно размножаются болезнетворные бактерии и микроорганизмы.

Микробы провоцируют развитие воспалительного процесса в десневых тканях, в результате которого ткань десны становится рыхлой и постепенно разрушается. Наиболее активно микробы развиваются в зубном налете и камне, поэтому при тщательной гигиене полости рта риск развития пародонтоза существенно снижается.

Наследственность. Если у родителей был пародонтоз, у детей наверняка будет склонность к этой болезни, особенно если при этом обнаруживаются патологии организма — хронические заболевания внутренних органов, сахарный диабет, проблемы с эндокринной системой, в частности щитовидной железой, болезни сердечно-сосудистой системы.

7 основных симптомов

На ранней стадии пародонтоз протекает практически бессимптомно, или же симптомы выражены неярко. Постепенно интенсивность симптомов возрастает. Признаки:

  1. Наличие большого количества зубного налета и зубного камня, которые вызывают активное размножение болезнетворных бактерий.
  2. Повышенная чувствительность зубов и десен.
  3. Повышенная кровоточивость десен.
  4. Наличие зубодесневых карманов, в которых скапливаются остатки пищи и выделяется гной.
  5. Появление неприятного запаха изо рта.
  6. Зуд в области десен.
  7. Бледность десен, ретракция десен и обнажение шейки зубов.

Стоматологи выделяют три формы развития — легкую, среднюю и тяжелую.

  • Легкая форма пародонтоза протекает без ярко выраженных симптомов, корни обнажаются, в связи с чем зубы кажутся несколько длиннее обычного.
  • Средняя и тяжелая формы более разнообразны по симптоматике.

Как правило, пародонтоз затрагивает все зубы, то есть является генерализованным заболеванием.

Диагностика

Диагностировать пародонтоз может только опытный врач-стоматолог, поскольку на ранней стадии симптомы похожи на признаки других заболеваний, поэтому крайне важно провести правильную дифференциальную диагностику от других болезней с похожими симптомами.

При постановке диагноза врач обязательно должен осмотреть пациента, внимательно расспросить его о симптомах, самочувствии, о наличии заболеваний, особенно системных проблем с эндокринной системой. Следует также указать степень развития пародонтоза, глубину десневых карманов, тип атрофии, степень обнажения шеек зубов. Все это в поможет правильно установить причины и назначить лечение.

При диагностике пародонтоза используются разнообразные функциональные методы диагностики. С их помощью удается обнаружить начальные сосудистые изменения, что позволяет поставить диагноз на ранней стадии.

  • При помощи современного метода реопародонтографии можно диагностировать раннюю стадию развития даже у молодежи, когда симптомы практически не проявляются.
  • Используя метод полярографии, удается выявить даже незначительное понижение уровня кислорода в десневых тканях.
  • Поставить правильный диагноз невозможно без современного рентгенологического исследования. Именно рентгенограмма позволяет установить степень атрофии альвеолярного отростка, что позволяет правильно установить стадию развития.
  • При пародонтозе повышается РОЭ, так как осуществляется постоянная интоксикация всего организма продуктами распада и жизнедеятельности болезнетворных микроорганизмов. Лейкоцитарная формула сдвигается влево, пациент может длительное время жаловаться на субфебрильную температуру. Поэтому при диагностике важно также назначить общее исследование крови пациента.

Следует отметить, что пародонтоз — это заболевание, которое тянется годами. И порой от появления первого симптома и до визита к стоматологу проходят годы. Поэтому врачи часто сталкиваются с запущенными состояниями зубов и десен. При тщательной гигиене полости рта и выполнении всех рекомендаций и указаний стоматолога удается сохранить зубы и десны здоровыми до глубокой старости.

Лечение

При лечении пародонтоза применяются такие современные методы лечения:

  1. Хирургический.
  2. Ортопедический.
  3. Физиотерапевтический.
  4. Терапевтический.

Самые хорошие результаты лечения достигаются тогда, когда лечение проводится комплексно, с применением всех вышеперечисленных методов лечения.

  • Хирургический метод эффективен тогда, когда высокая степень атрофии альвеолярного отростка. В этом случае хирургически наращивают костную ткань, которая помогает удерживать зубы на нужном месте, не позволяя им расшатываться и выпадать. Хирургический метод эффективен также при борьбе с пародонтальными (зубодесневыми) карманами.
  • Ортопедический метод применяется тогда, когда необходимо заменить потерянные зубы или же усилить фиксацию тех зубов, что еще остались. Врач-стоматолог устанавливает во рту пациента специальные коронки, мосты или протезы.
  • Физиотерапевтический метод включает в себя лазеротерапию и лазерный фотофорез. С их помощью удается активизировать кровообращение в десневых тканях, а также эффективно бороться с микробами.
  • Использование терапевтических методов позволяет удалять зубные отложения и лечить кариес, который является неизменным спутником пародонтоза.

Дополнительные эффективные методы:

  • Параллельно всем выше указанным методам лечения врач-стоматолог обязательно должен назначить витаминотерапию, поскольку нехватка в организме определенных витаминов и микроэлементов только усиливает симптомы пародонтоза. Иногда возникает необходимость в назначении гормональных препаратов, если заболевание спровоцировано нарушениями в работе эндокринной системы.
  • При лечении очень важно не только придерживаться назначенной врачом схемы лечения, но и использовать правильные средства для личной гигиены полости рта. Чистить зубы и десны следует специальными зубными пастами, разработанными специалистами для лечения пародонтоза. Наличие в такой лечебной зубной пасте специальных ингредиентов позволяет активно бороться с повышенной кровоточивостью десен, воспалением. Наличие в зубной пасте антибактериальных компонентов позволяет уменьшать количество болезнетворных бактерий в полости рта.
  • В сложных случаях врач может порекомендовать лоскутную операцию, в ходе которой удаляются образовавшиеся воспалительные грануляции, зубные отложения, а также проводится обработка полости специальными антибактериальными средствами.
  • Лечение пародонтоза обязательно должно включать в себя и лечение зубов, так как наличие сколов зуба, неподходящих пломб, некачественных зубных коронок может приводить к травмированию десны. Поэтому врач на начальном этапе лечения должен устранить все эти так называемые местные факторы.
  • Для более эффективного лечения необходимо также повышать защитные функции организма, что приводит к назначению общеукрепляющих и противовоспалительных препаратов.
  • Довольно эффективными являются и народные методы борьбы с пародонтозом, направленные на укрепление десен и снятие воспаления. Опытный врач обязательно посоветует пациенту дополнительные народные методы лечения, которые не заменяют полноценного лечения, но отлично его дополняют.

Последствия и осложнения

При пародонтозе можно не только лишиться всех зубов, но и заработать кучу других сопутствующих болячек. Как правило, все пациенты с этой болезнью страдают заболеваниями желудочно-кишечного тракта, поскольку отсутствие зубов или сильное хроническое воспаление десен не позволяет полноценно пережевывать пищу, что негативно сказывается на здоровье желудка и кишечника. Поэтому не следует легкомысленно относиться к данному заболеванию.

Без надлежащего лечения пародонтоз может перерасти в периодонтит, а это заболевание является еще более опасным. Также течение может осложниться развитием язвенного гингивита, воспаления лимфатических узлов, появлением десневых абсцессов, возникновением остеомиелита челюсти.

Профилактика

Врачи всегда предупреждают: профилактика намного эффективнее последующего лечения. Поэтому гораздо важнее не допустить развитие пародонтоза, ведь лечение может длиться очень и очень долго.

Основные профилактические меры заключаются в тщательной гигиене полости рта. Необходимо тщательно чистить зубы дважды в день при помощи специальной зубной пасты, а также использовать ополаскиватели, которые помогают укрепить ваши десны и защитить их от воспаления. Необходимо также придерживаться принципов здорового питания, ограничить потребление сладкого.

Заразен ли пародонтоз?

Многие пациенты, наслушавшись страшилок о том, что пародонтоз заразен, спрашивают, как он передается, можно ли заразиться через посуду, при поцелуях, а также передается ли заболевание воздушно-капельным путем. Успокоим вас сразу: сам по себе он не заразен, однако, подхватить болезнетворные бактерии, способствующие его развитию, можно всегда. Впрочем, это совершенно не означает, что следует отказаться от поцелуев, важно только придерживаться правил гигиены полости рта. И тогда пародонтоз вам не страшен.

  • 19 сентября 2018, в 1:34 Проверенный отзыв

    У меня десны очень воспалены. Это началось после родов. Чем можно лечить десны, чтоб сохранить зубы?

  • Определенные средства, подходящие именно Вам, может подобрать только врач-стоматолог после личной консультации. До консультации необходимо поддерживать хорошую регулярную гигиену полости рта, попробуйте приобрести зубную щетку с более мягкой щетиной, но более плотной кустопосадкой, используйте зубную нить, ершики. Так же важен рацион и качество питания, добавьте больше фрукто читать далее
  • 8 сентября 2017, в 19:34 Проверенный отзыв

    Доктор, у меня злокачественное онкологическое заболевание кишечника, после химии сильно понижен иммунитет. Сейчас в отношениях с мужчиной, который вследствии пародонтита потерял все зубы и сейчас со сьемными протезами. Велика ли вероятность, что у меня может развиться пародонтит? После поцелуев, общей посуды?

  • Здравствуйте. Вообще, пародонтит не передается контактно-бытовым путем. Но при сниженном иммунитете организм может быть чувствителен к бактериям, участвующим в развитии заболевания.

  • 23 января 2017, в 23:41 Проверенный отзыв
    Стоматолог сказала, что у меня, возможно, пародонтоз. И, если я буду устанавливать брекеты, то нижние зубы выпадут. Подскажите, что в моем случае сделать можно? И, есть ли пародонтоз? Могу ли я на передние поставить имланты и только после этого ставить брекеты?
    Комментарий №161933
  • Вам надо получить предметную консультацию у ортодонта. И, мне кажется, в любом случае надо начинать с удаления всех корешков и зубов, которые невозможно спасти.
  • Я удалила три корешка. Ортодонт мне сказала, что надо удалять все четыре восьмерки. И, соответственно, лечение зубов. Так же сказала, что при исправлении прикуса нижние единички могут выпасть. Так ли это? И, возможно ли как-то их спасти? Так как они здоровы. У них опущена и оголена десна.
  • Нижние единички, видимо, слабые уже. Они из нижних зубов выпадают в первую очередь при слабых деснах, а ортодонтические процедуры увеличивают нагрузку. Ничего страшного, выпрямлять зубы же надо, а потом, после полученного результата решать вопрос с оставшимися зубами.
  • 6 июля 2016, в 8:21 Проверенный отзыв
    Мне 32 года. Недавно была на чистке зубов, стоматолог сказал, что у меня пародонтоз, оголяются шейки зубов, усаживаются десны, и со временем я начну терять здоровые зубы, хотя десны у меня не воспалены и не кровоточат. Что в этом случае делают? С чего начать лечение?
    Комментарий №160828 Комментарий №160828
  • Думаю, что и Вы, и Ваш стоматолог слишком драматизируете ситуацию. Пародонтоз неизлечим, современная стоматология не имеет решения данного вопроса. Мы можем только замедлить процесс развития хорошей гигиеной, правильной чисткой и уходом за полостью рта.
  • 7 октября 2015, в 23:24 Проверенный отзыв
    Можно ли заразится пародонтозом через посуду? Или ее надо кипятить после того, как человек с пародонтозом попользовался ею. Если да, то сколько надо кипятить? И если уже шатается зуб при пародонтозе, можно ли его укрепить лечением?
  • Пародонтоз незаразен, и не передается от человека человеку. Укрепить зуб, имеющий 2 – 3 степень подвижности, невозможно. Обратитесь на очный приём к врачу-стоматологу.
  • 6 сентября 2014, в 0:45 Проверенный отзыв
    Если от пародонтоза сильно расшатались зубы и поднялись десны, существует ли какой-то вариант лечения или только удалять? И какие варианты лечения проводит ваша клиника?
  • К большому сожалению, современная стоматология пока не находит методов для лечения пародонтоза. На сегодняшний момент мы можем только предложить поддержание имеющейся ситуации. Более подробно Вы можете проконсультироваться на очном приеме.