🔥 Имплантация за 3750 ₽/мес.

Почему начала чесаться десна вокруг мертвого зуба после замены пломбы?

Илья8 ноября 2018 г.

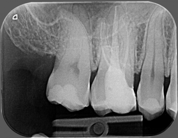
Правая верхняя 6-ка без нерва, с запломбированными каналами (уже лет 10). Вокруг нее такое ощущение, что десна зудит, уже около двух лет. Началось после смены пломбы. В последний раз на приеме доктор искала, там хоть что нибудь. Заодно проверяла зуб, под десной было очень приятное ощущение. Так же хорошо чесать нитью. Мой стоматолог не смогла ничего предположить.

Что это такое? Как мне это вылечить?

Прикрепленые фото
Почему начала чесаться десна вокруг мертвого зуба после замены пломбы?
Эксперт topdent
5.0
38 отзывов
Стоматолог-терапевт, детский стоматолог, пародонтолог, эндодонтист Стаж: 23 года

Необходим осмотр. Следует заменить пломбу на ортопедическую конструкцию, коронку. Так как нет плотного контактного пункта между зубами, и при жевании постоянно в межзубной промежуток попадает пища, что вызывает неприятные ощущения.

Связанные услуги

Статьи по теме

Пока нет комментариев
Вас консультируют