🔥 Имплантация за 3750 ₽/мес.

Нужно ли повторное эндодонтическое лечение или зуб необходимо удалять?

Максим3 октября 2018 г.

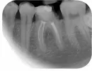
Мне 31 год. Никаких болевых симптомов в 36-ом зубе. Этот зуб лечил 3-4 года назад. Зуб беспокоил, пришлось лечить, и удалить нерв. Сейчас откололась стенка этого зуба, и режет щеку.

Посетил стоматологию, VIP уровня, сделал прицельный снимок 36-го зуба. Мне сказали, что нужно всё переделывать, удалять оставшуюся часть зуба, распломбировать каналы, извлечь инструмент, перелечивать. Сказали, возможно, воспаление. Сказали, нужно установить штифт, коронку. И внезапно предъявили круглую сумму.

Затем я обратился в другую клинику, средне статистическую. Сказали, нет смысла в переделке пока что, каналы пролечены, склерозированный, воспаления нет, пломба стоит вполне хорошая, и будет достаточно реставрации со штифтом в широкий канал и нарастить недостающую часть зуба. Избежать лишнего вмешательства, времени на посещения и расход.

Также обратился к частному стоматологу. Который предложил, удаление половины 36-го зуба, где замечен инструмент, чтоб не рисковать и не было перфорации. Затем удалить 35-ый зуб, и поставить мост с двумя коронками.

По-моему хоть и не профессиональному мнению, это безумие и самый дорогостоящий вариант развития событий.

Нужно ли повторное эндолечение, или подойдёт реставрация?

Прикрепленые фото
Эксперт topdent
5.0
3 отзыва
Стоматолог-терапевт, эндодонтист Стаж: 21 год

Так как разрушена большая часть коронковой части зуба, то необходимо зуб покрыть коронкой. Для этого необходимо укрепить его культевой вкладкой или штифтом. Так как каналы пролечены не идеально, не до верхушек корней, то вмешательство может привести к развитию воспалительного процесса.

В идеале необходимо почистить каналы и вновь запломбировать. Но вы должны понимать, что 100% гарантии на перелечивание такого зуба врач дать не может, но удалять зуб, не попытавшись его сохранить тоже неправильно.

Связанные услуги

Статьи по теме

  • 14 октября 2019, в 18:59 Проверенный отзыв
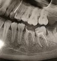
    У меня 36-й зуб давно депульпирован, 15 лет назад. Каналы пролечены плохо, как видно по снимку. Стенки разрушены. Каковы шансы на его сохранение? Если шансы сохранить, велики, то его можно покрыть вкладкой и коронкой?
    Комментарий №177960
  • Осталось очень мало собственных тканей и ещё много поражённых тканей уйдёт при препарировании зуба. Также по снимку у верхушек корней зуба есть очаги воспаления. Поэтому, скорее всего, зуб подлежит удалению, так как гарантий на успешное перелечивание нет. После удаления дефект можно заместить или имплантатом или мостовидным протезом с опорой на 5 и 7 зубы.
  • 22 марта 2019, в 15:38 Проверенный отзыв
    На панорамном снимке два зубы выделенные красным, я так полагаю их нужно перелечивать каналы. Возможно сохранить зубы не удаляя?
    Комментарий №176217
  • По данному рентгеновскому снимку, за верхушками корней 17-х и 46-х зубов есть воспалительные процессы небольших размеров. Гарантий на успешное эндодонтическое перелечивание нет (успех зависит не только от врача, но и от резистентности организма человека). Попробовать перепломбировать корневые каналы можно, так как жевательные зубы лучше сохранить. Проконсультируйтесь очно со читать далее
Вас консультируют