🔥 Имплантация за 3750 ₽/мес.

Может ли быть боль в зубе со штифтом при жевании, если отсутствует антагонист

Лена 1 ноября 2018 г.

15 лет назад была пролеченная верхняя левая 6-ка, зуб на штифте. Проблем с ним не было.

Год назад удалили нижнюю 6-ку слева. 5 месяцев назад начала замечать, когда зубы соприкасаются, друг с другом, с верхней 6-ой со штифтом, чувствуется несильный дискомфорт, и легкая боль. Просто я поставила имплант и на днях протежируют, боюсь, что будет боль при жевании.

Что это может быть? Может это из-за того, что нет опоры около года, что то произошло с ней?

Эксперт topdent
5.0
3 отзыва
Стоматолог-терапевт, эндодонтист Стаж: 21 год

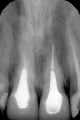
Вы чувствуете дискомфорт в верхнем 6-ом зубе, так как в нем есть воспалительный процесс. По данному рентгеновскому снимку (хронический апикальный периодонтит). Зуб следует перелечить. Проконсультируйтесь очно со стоматологом-терапевтом.

Связанные услуги

Статьи по теме

  • 2 ноября 2018, в 20:10 Проверенный отзыв
    Около месяца назад появился дискомфорт в области зуба со штифтом. Что можно сказать по снимку?
    Комментарий №175120
  • Два зуба следует перелечить. В одном канал запломбирован не до верхушки корня, что приведет к развитию воспаления в области апикального отверстия. В другом зубе между пломбой канала и штифтом имеется затемнение, возможно штифт разгерметизирован частично.
Вас консультируют